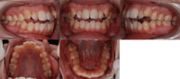
Before
After
- 過蓋咬合前歯のガタガタ
- 治療期間:2年
| 年齢 | 範囲 | 抜歯有無 | 費用 |
|---|---|---|---|
| 23歳3ヶ月 | 全体矯正 | 非抜歯 | 80万円 |
対応症例と治療実例
当院では以下のような症状に対してマウスピース矯正(インビザライン治療)を行っています。
当院で実際に治療された患者さまのマウスピース矯正治療前後の状態と実際の費用を一部公開しています。
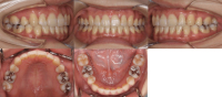
Before
After
| 年齢 | 範囲 | 抜歯有無 | 費用 |
|---|---|---|---|
| 23歳3ヶ月 | 全体矯正 | 非抜歯 | 80万円 |
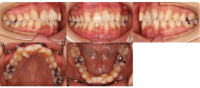
Before
After
| 年齢 | 範囲 | 抜歯有無 | 費用 |
|---|---|---|---|
| 25歳7ヶ月 | 全体矯正 | 有 | 80万円 |
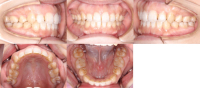
Before
After
| 年齢 | 範囲 | 抜歯有無 | 費用 |
|---|---|---|---|
| 28歳4ヶ月 | 全体矯正 | 有 | 80万円 |