八重歯は矯正治療で治る?八重歯になる原因と治療例について
- 公開日:2020/12/19
- 監修者:増岡尚哉
- 更新日:2025/07/22
八重歯は矯正治療で治る?八重歯になる原因と治療例について
こんにちは、東京日本橋エムアンドアソシエイツ矯正歯科の増岡です。
今回は、当院にご相談に来られる患者様のお問い合わせ内容の中でも頻度の高い「八重歯」についてのお話です。
八重歯って?
八重歯は専門歯科用語的には犬歯低位唇側転位といいます。
犬歯(糸切り歯)が外に飛び出してしまっている状態を「八重歯」と呼んでいます。糸切り歯(犬歯)が生える際に場所が足りないため、上の方の唇側に留まってしまう状態を指します。
八重歯は実は大事な歯
犬歯は、他の歯よりも歯根が太くて長い歯です。その分しっかりとかむ力を受け止める事ができます。もう一つ、犬歯は尖っていて、かむ力を上手に受け流すこともできます。このような力を受け止めてかつ受け流すことができる歯は、犬歯だけです。このように犬歯は大事な歯ですから、デコボコだからといって矯正治療で安易に抜く歯にはしません。
八重歯は悪いの?
八重歯があることによって考えられるリスクとしては以下のものがあります。
【虫歯リスク】
八重歯があるということは歯並びのガタガタがあるということですので歯磨きがどうしても難しくなってしまいます。その歯だけでなく、隣り合っている歯の虫歯リスクも高くなってしまいます。
【外傷リスク】
八重歯は先がとがっているため、唇を傷つけてしまう原因にもなります。格闘技や接触の多いスポーツ(バスケットボールやサッカーなど)でケガをしやすいから矯正治療を考えている方も矯正相談にいらっしゃいます。
【かみ合わせのリスク】
理想的なかみ合わせでは犬歯誘導(けんしゆうどう)という考えがあります。
これは下あごを左右に動かす際に上下の犬歯が最後まで当たることで奥歯に過度な横揺れの力がかからないようにするというものです。
八重歯があると犬歯誘導ができないため、奥歯に横揺れの過重がかかってしまいます。奥歯に過度な横揺れの力がかかると、奥歯が割れてしまったり、奥歯を支えている顎の骨がなくなってしまったりして、最悪の場合、歯周病などが増悪して歯が抜けてしまうこともあります。
どうして八重歯になるの?
八重歯になってしまう一番大きな原因は、歯が生えるのに必要な場所が足りないことです。
八重歯になる犬歯の生え変わり時期は10~11歳頃に生えてきますが、通常、犬歯の手前の歯や奥の歯の方が先に生え変わるため、あとから生えてくる犬歯の場所が足りない状態になると正しい位置に犬歯が生えることができず八重歯になってしまいます。
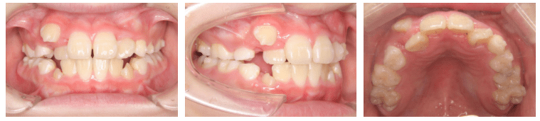
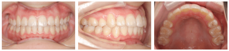
右上の横の前歯場所が足りないため内側に生えてきてしまい、上下の歯が交叉咬合の状態です。
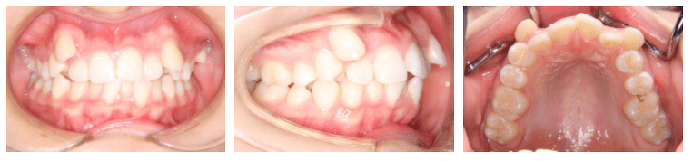
矯正治療を開始し、歯並びを整え始めましたが、右上の犬歯は八重歯の状態で生えてきてしまいました。
八重歯のインビザライン治療例
八重歯をインビザラインで治療する場合には、インビザラインが得意とする遠心移動を組み込むことで抜歯を避けて歯並びを整えることが可能です。
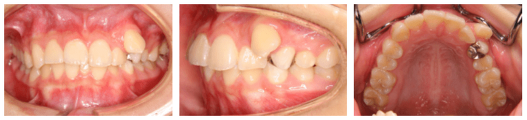
左上に八重歯がある患者さんです。
歯を抜かずに奥歯から移動させたことで抜歯をせずに並びを整えることができました。
ただ、場所があまりに足りない場合にはやむを得ず抜歯を行い、歯の数を減らすこともありますが、その場合も八重歯(犬歯)を抜歯することはありません。
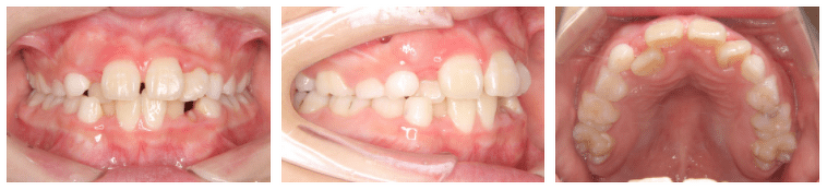
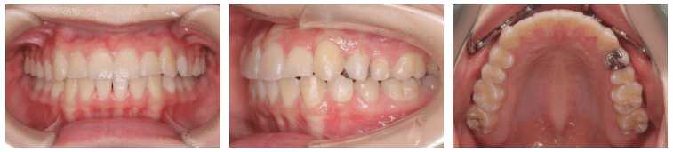
左右の八重歯に加えて奥歯が手前に寄ってしまっているため歯を並べる場所が足りません。
八重歯の後ろの後ろの歯(小臼歯)を抜歯して得られたスペースに八重歯を下ろしてかみ合わせを整えました。
最後に
八重歯にならないようにするためには小学生の間に歯並びを整える必要があります。
当院では小学生のお子様に向けたマウスピース型カスタムメイド矯正歯科装置(製品名インビザライン・ファースト 完成物薬機法対象外)を使用した治療を行っております。
また大人の方でも患者様お一人お一人に合った治療方針を立てることで、八重歯の程度が重度の場合でも、マウスピース型カスタムメイド矯正歯科装置(製品名インビザライン 完成物薬機法対象外)で治療することが可能です。
歯並びやかみ合わせでお悩みの方も是非一度当院初回カウンセリングでお話をお聞かせください。

監修者:増岡尚哉
歯科医師・歯学博士(D.D.S. , Ph.D.)|マウスピース型カスタムメイド矯正歯科装置(製品名インビザライン 完成物薬機法対象外)の講師として歯科医師向けに講義・講演活動をしています。