きれいなE-lineを実現!口ゴボにおけるインビザライン治療症例3選
- 公開日:2020/03/31
- 監修者:増岡尚哉
- 更新日:2025/11/28
こんにちは、エムアンドアソシエイツ矯正歯科の増岡です。
口元が突出している状態であるいわゆる「口ゴボ」は、インビザライン治療を希望される多くの皆さんが気にされている主訴の一つです。
口ゴボで、見た目のコンプレックスを抱えている患者さんも多いため、当院では美しいEラインも治療計画を考える際の材料としています。
今回はEラインを考慮した口ゴボの治療症例とEラインの考え方を解説します。
【目次】
1、歯並びの美しさの基準「Eライン」
2、理想のEラインを実現した口ゴボの治療例
①口元を下げたい(抜歯あり)の場合
②上顎前突(非抜歯、IPRあり)の場合
③叢生(非抜歯)の場合
3、患者さんの症例に応じた治療計画を心がけています
歯並びの美しさの基準「Eライン」
矯正治療の目的として、アメリカの著名な矯正歯科医であったDr.Tweedは
- 顔貌ラインの最良のバランスと調和
- 歯列弓の安定
- 健康な口腔組織
- 効果的な咀嚼機能の確立
を挙げており、矯正治療の目的として、歯並びだけではなく顔貌と歯並びの調和が重要であることは古くから指摘されています。
矯正診療を行う際の理想的な歯並びの基準に、1954年歯科医ロバート・リケッツが提唱したEライン(イーライン:エステティックライン)があります。
Eラインとは、鼻の先端から顎先までを結んだ直線のことで、理想のEラインはこの線から唇がはみ出さないことです。人差し指で鼻先と顎先をつけた際に、唇が指につかないのであれば、理想のEラインの目安とされています。
ただし、日本人は欧米人と比べて骨格が異なったり鼻の低さも違うため必ずしもこの通りではありません。唇が人差し指に少し触れる程度であっても美しいEラインと言えることもあります。
矯正歯科ではこのEラインに基づいて口元の評価を行うことが多いです。
当院では、このEラインの見た目に加え、歯並び全体の噛み合わせを考慮して治療計画を立てています。
関連記事:歯列矯正後の横顔の変化を比較!きれいなEラインを実現した症例
理想のEラインを実現した口ゴボの治療例
ここでは、当院で治療した口ゴボの症例をご紹介します。
①抜歯
②IPR(歯の研磨)
③非抜歯の3パターン
で、理想のEラインを実現できたケースとなります。
①口元を下げたい(抜歯あり)の場合
口元を大きく変化させるためにはやはり、唇を裏側から支える上下の前歯の位置を大きく変化させる必要があります。
左→右 口元の変化を希望されました。小臼歯4本の抜歯が必要になりましたが、治療後口元をスッキリと後ろに下げることができました。
このように口元を大きく変化させたい場合には、ガタガタが少なくても抜歯が必要となる場合があります。
症例情報
【患者】 30代女性
【主訴】 前歯の突出
【治療期間】2年3ヶ月 通院回数20回
【治療内容】上下左右の小臼歯4本を抜歯した後、マウスピース型カスタムメイド矯正歯科装置(製品名インビザライン 完成物薬機法対象外)を使用して主訴である前歯の突出の改善を行いました。
【費用】88万(税込)
【リスク】矯正歯科装置を付けた後しばらくは違和感、不快感、痛みなどが生じることがあります。
矯正中は矯正歯科装置が歯の表面についているため食物が溜まりやすく、また歯が磨きにくくなるため、虫歯や歯周病が生じるリスクがあります。
歯を動かすことにより歯根が吸収して短くなることや歯肉がやせて下がることがあります。
矯正歯科治療は公的健康保健の適応外の自費治療(自由診療)となります。
*Eライン美人に興味がある方、口元のお悩みを無料相談してみませんか?
②上顎前突(非抜歯、IPRあり)の場合
IPR(Interproximal Reduction)とは、歯の両側面をわずかに削って歯を動かすためのスペースを確保する方法です。削るのは、歯の一番外側にあるエナメル質部分のみで、歯自体にダメージが加わることはありません。
抜歯するほどではない場合には、IPRによって確保した隙間を利用して前歯を後ろに下げ、口元の印象を変化させることも可能です。
左→右 小臼歯の抜歯は行わず(非抜歯)、IPRを利用して前歯の位置を後ろに移動させたことで、治療後の口元を変化させることができました。
症例情報
【患者】20代女性
【主訴】上の前歯が出ている
【治療期間】1年8ヶ月 通院回数15回
【治療内容】親知らず2本を抜歯した後、マウスピース型カスタムメイド矯正歯科装置(製品名インビザライン 完成物薬機法対象外)を使用して主訴である上の前歯の突出の改善を行いました。
【費用】88万(税込)
【リスク】矯正歯科装置を付けた後しばらくは違和感、不快感、痛みなどが生じることがあります。
矯正中は矯正歯科装置が歯の表面についているため食物が溜まりやすく、また歯が磨きにくくなるため、虫歯や歯周病が生じるリスクがあります。
歯を動かすことにより歯根が吸収して短くなることや歯肉がやせて下がることがあります。
矯正歯科治療は公的健康保健の適応外の自費治療(自由診療)となります。
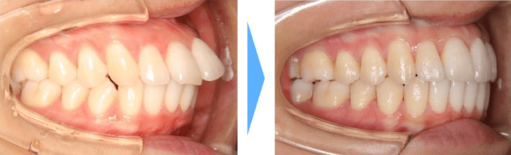
③叢生(非抜歯)の場合
もともと大きく口元が出ていらっしゃらない場合には、ガタガタが多い場合でもあえて歯を抜かずに歯並びを整えた方が良かったり、逆に前歯を少し前方へ移動させるように計画する場合もあります。
左→右 治療前の状態で口元がどちらかというと内側に入っていらっしゃったため、歯並びのガタガタは多かったのですが抜歯せずに整え、治療後の口元を前方に変化させることができました。
症例情報
【患者】 10代女性
【主訴】 八重歯
【治療期間】1年9ヶ月 通院回数17回
【治療内容】マウスピース型カスタムメイド矯正歯科装置(製品名インビザライン 完成物薬機法対象外)を使用して主訴である叢生の改善を行いました。
【費用】88万(税込)
【リスク】矯正歯科装置を付けた後しばらくは違和感、不快感、痛みなどが生じることがあります。
矯正中は矯正歯科装置が歯の表面についているため食物が溜まりやすく、また歯が磨きにくくなるため、虫歯や歯周病が生じるリスクがあります。
歯を動かすことにより歯根が吸収して短くなることや歯肉がやせて下がることがあります。
矯正歯科治療は公的健康保健の適応外の自費治療(自由診療)となります。
患者様の症例に応じた治療計画を心がけています
いかがでしたでしょうか?マウスピース矯正治療では、抜歯or 非抜歯という二者択一の選択だけでなく、IPRや遠心移動(歯を歯列の奥の方へ向かって移動させること)、側方拡大(歯並びのアーチを横方向へ広げる)などをクリンチェックに組み込むことで患者さんごとにカスタマイズされたより詳細な治療計画を作り出すことが可能です。
関連記事:マウスピース矯正における クリンチェック の重要性
当院ではきれいに整っているだけでなく、口元と調和のとれた歯並びが得られるように心がけた治療を行っております。
ご興味のある方は是非一度当院無料カウンセリングをご利用ください。
一般的なリスク・副作用
① 矯正歯科装置を付けた後しばらくは違和感、不快感、痛みなどが生じることがありますが、一般的には数日間~1、2 週間で慣れてきます。
② 歯の動き方には個人差があり、予想された治療期間が延長する可能性があります。
③ 矯正歯科装置の使用状況、顎間ゴムの使用状況、定期的な通院など、矯正歯科治療には患者さんの協力が必要であり、それらが治療結果や治療期間に影響します。
④ 治療中は矯正歯科装置が歯の表面に付いているため食物が溜りやすく、また歯が磨きにくくなるため、むし歯や歯周病が生じるリスクが高まります。したがってハミガキを適切に行い、お口の中を常に清潔に保ち、さらに、かかりつけ歯科医に定期的に受診することが大切です。また、歯が動くと隠れていたむし歯があることが判明することもあります。
⑤ 歯を動かすことにより歯根が吸収して短くなることや歯肉がやせて下がることがあります。
⑥ ごくまれに歯が骨と癒着していて歯が動かないことがあります。
⑦ ごくまれに歯を動かすことで神経が障害を受けて壊死することがあります。
⑧ 矯正歯科装置などにより金属等のアレルギー症状が出ることがあります。
⑨ 治療中に顎関節の痛み、音が鳴る、口が開けにくいなどの症状が生じることがあります。
⑩ 治療の経過によっては当初予定していた治療計画を変更する可能性があります。
⑪ 歯の形の修正や咬み合わせの微調整を行う可能性があります。
⑫ 矯正歯科装置を誤飲する可能性があります。
⑬ 矯正歯科装置を外す際にエナメル質に微小な亀裂が入る可能性や、かぶせ物(補綴物)の一部が破損する可能性があります。
⑭ 動的治療が終了し装置が外れた後に現在の咬み合わせに合った状態のかぶせ物(補綴物)やむし歯の治療(修復物)などをやりなおす必要性が生じる可能性があります。
⑮ 動的治療が終了し装置が外れた後に保定装置を指示通り使用しないと、歯並びや、咬み合せの「後戻り」が生じる可能性があります。
⑯ あごの成長発育により咬み合せや歯並びが変化する可能性があります。
⑰ 治療後に親知らずの影響で歯並びや咬み合せに変化が生じる可能性があります。また、加齢や歯周病などにより歯並びや咬み合せが変化することがあります。
⑱ 矯正歯科治療は一度始めると元の状態に戻すことは難しくなります。

監修者:増岡尚哉
歯科医師・歯学博士(D.D.S. , Ph.D.)|マウスピース型カスタムメイド矯正歯科装置(製品名インビザライン 完成物薬機法対象外)の講師として歯科医師向けに講義・講演活動をしています。