歯列矯正後の横顔の変化を比較!きれいなEラインを実現した症例
- 公開日:2022/12/08
- 監修者:増岡尚哉
- 更新日:2025/07/22
ご自身の横顔を見ることはありますか?人間の顔は立体なので、当然ながら正面だけでなく横顔や斜めから見たシルエットもその人の印象を決める一因となります。今回は、お顔のシルエットの美しさの基準となる「Eライン」についてお話をしていきます。
【目次】
1、横顔の美しさ「Eライン」とは?
2、Eラインに影響を与える症例
・【出っ歯(上顎前突)】
・【受け口(下顎前突)】
・【上下とも歯が出ている(上下顎前突)】
3、Eラインが乱れるのは、日常的な悪癖の影響
①口呼吸
②舌で歯を押す癖
4、美しいEライン実現のための治療法
・歯列矯正
・外科手術
5、矯正治療による横顔の変化
①口を閉じている時の横顔
②笑ったときの横顔
③喋っているときの横顔
6、当院の症例で横顔を比較
・症例①:抜歯+マウスピース型矯正装置
・症例②:非抜歯+マウスピース型矯正装置
・症例③:あご(歯列)を拡大する
7、横顔のビフォーアフターがシミュレーション可能になりました
横顔の美しさ「Eライン」とは?
鼻先と下顎を結ぶ直線ライン=美しい横顔「Eライン」(esthetic line)とは、横顔の鼻先と下アゴの突端部を直線で結んだラインのことをいいます。
正式にはエステティックラインと言います。1954年歯科医ロバート・リケッツが提唱した美の基準のひとつで、この線上や内側に唇が収まっている横顔が美しいとされています。
横顔から見て、人差し指を鼻先とアゴ先にまっすぐ付けた時に唇が人差し指につかない・もしくは少し触れる程度の状態が理想のEラインと言われています。
Eラインに影響を与える症例
歯並びの悪さや噛み合わせの悪さはEラインと大きく関わります。
綺麗な横顔を表す「Eライン」の定義から考えると、鼻先よりも上唇や下唇そして顎が出ている場合、Eラインが大きく乱れることになります。
Eラインを乱す原因は以下のような歯並びが挙げられます。
【出っ歯(上顎前突)】
いわゆる「出っ歯」と言われている上の歯が飛び出した歯並びです。出っ歯は横からみると上唇が突き出ているためEラインに乱れを生じさせます。
【受け口(下顎前突)】
下の歯が上の歯よりも出ているため「受け口」「しゃくれ」と言われる歯並びおよび不正咬合です。
Eラインの比率から考えると、上唇よりも下唇が出ており、Eラインが綺麗な直線になりません。
【関連記事】
受け口とは?その原因と症状別おすすめの治療方法を矯正医が解説。
【上下とも歯が出ている(上下顎前突)】
専門的には「上下顎前突」と言われ、名前の通り、上下の歯ともに前へ突き出している歯並びです。
最近では「口ゴボ」とも言われており、この不正咬合は、Eラインを大きく乱します。
【関連記事】
口ゴボとは?判断基準と原因、おすすめの治療法を矯正医が解説。
Eラインが乱れるのは、日常的な悪癖の影響
歯並びが乱れる原因は遺伝的要素が大半を占めています。しかし、習癖(日常的な癖)によって、歯並びが乱れてしまうことがあります。
①口呼吸
呼吸は本来鼻で行うものです。口呼吸をしていると様々な弊害が起きてしまいます。
口をポカンと開けて呼吸しているために口の中が乾燥し、唾液による浄化作用・殺菌作用が得られず、虫歯や歯周病のリスクがたかまったり、口臭などの原因にもなります。
また口呼吸の方に多く見られるのが「舌の位置が通常より下がっている」ということです。下の歯に寄りかかるように舌をおいてしまうことで、だんだんと歯を前へ押し出してしまい、出っ歯になりやすくなります。
②舌で歯を押す癖
つい無意識に舌で歯を押してしまう癖をお持ちの方もいるようです。
歯を動かすのには強い力が必要というイメージがあるかもしれませんが、実は、ずっと舌で歯を押していると少しずつ歯が前へ押されてしまいます。これによって、歯並びや上下の噛み合わせも乱れていきます。
口呼吸の欄でもお話ししましたが、正しい位置に舌を持っていくよう普段から意識しなまくていけません。
【関連記事】
知っておきたい「正しい舌の位置」セルフチェック法と舌癖改善トレーニング方法を解説
美しいEライン実現のための治療法
1.歯列矯正
<ブラケットとワイヤーによる歯列矯正>
抜歯を伴わず、矯正装置をつけることで歯並びを綺麗に整えることは可能です。
しかし、抜歯をしない矯正にこだわりすぎると、正面から見た歯並びはキレイになっても、Eラインが改善されない可能性があります。
抜歯を行うことで歯がきちんと並ぶスペースを確保し、乱れた歯並びをブラケットとワイヤーで歯列およびかみ合わせの調整をします。
<マウスピース型矯正装置による歯列矯正>
取り外しが可能で、目立たずに矯正治療ができるマウスピース矯正ですが、症例には限りがあるため、ブラケット矯正のようにどんな症例にも対応できない場合が有ります。
程度の軽い出っ歯や抜歯の必要がなく、正しいかみ合わせを導くことができる症例などはマウスピース矯正が適しているでしょう。
しかし、大きく顎が前へ出ており、しゃくれたような受け口は歯列矯正だけでは改善が難しく、外科手術を伴う必要な場合もあります。レントゲン撮影をはじめとした検査で詳しく調べ、矯正治療で改善できるかどうかを判断する必要があります。
外科手術
<ワスモンド法>
上顎の前歯を外科手術で引っ込める方法です。
前歯を引っ込めることによって、口唇がEラインに触れない格好にしたり、鼻下の角度を修正したりすることが可能になります。
この外科手術は、前歯の露出度を調整することが出来る手術法です。
<SSRO(エス・エセ・アール・オー)>
下顎を前方に拡大する外科手術法です。
この治療法によって、Eラインの形を改善し、口唇が閉じやすい格好になります。なぜなら前方に拡大することで下顎の位置を前方に位置づけることが出来るためです。
そのため、上顎が突出しているタイプではなく、下顎が小さいことが原因で上顎前突になっているケースにおいてはSSROは非常に効果的な治療方法といえるでしょう。
<オトガイ形成術>
下顎の先端、つまりの形態を修正する外科手術です。
そのため、横顔の印象を効果的に改善できる手術法といえます。なぜなら、オトガイ形成術によって顎先を整えると、Eラインの状態が一気に改善されるからです
矯正治療による横顔の変化
①口を閉じているときの横顔
横顔を評価するときに一つ指標とされているのが、顔を横から見たときに、鼻の先端と顎を結んだ線Eラインを軸に評価していきます。
矯正後は上の前歯が下がることで上唇も後ろに下がることになり、全てがEラインの内側におさまり理想のEラインをつくれるようになっています。
②笑ったときの横顔
出っ歯で笑うと歯が唇よりも出てしまうため、イラストのように歯が目立ってしまいます。
このような方の中には上唇が引き上げられてしまうことで歯と歯茎が露出しやすくなっているガミースマイルの方もいます。
しかし矯正治療で上の前歯が下がると上唇が引き上げられなくなるため改善され、笑っても歯が目立たない綺麗な横顔になります。
③喋っているときの横顔
矯正前は喋るときに口を開けると歯が突出してしまっているのが矯正後は唇よりも内側に歯があることが分かります。
当院の症例で横顔を比較
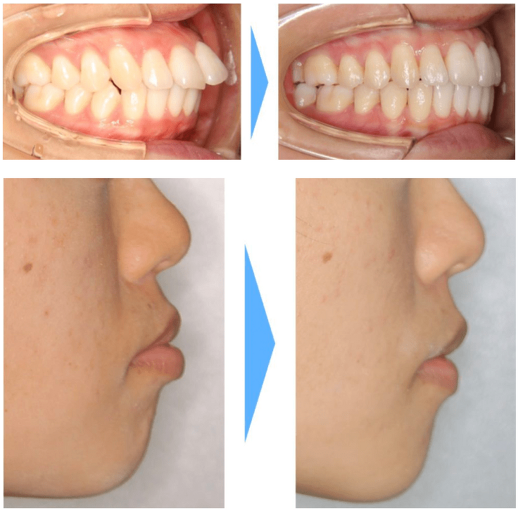
症例①:抜歯+マウスピース型矯正装置
【治療期間】
歯を抜いたからといって大幅に治療期間が延びるということばかりではありません。治療期間の長さは「歯の移動量の多さ(=マウスピースの枚数)」によって決定します。
一般的なインビザラインの治療期間はトータルで1年半〜2年度ほどですが、お口の状況によって異なります。
正確な情報は矯正医に相談されることをお勧めいたします。
インビザライン矯正の工程は大きく分けて2つあります。マウスピース(アライナー)を装着して実際に歯を動かす「矯正期間」と、キレイにならんだ歯並びを固定させる「保定期間」です。
保定期間は、矯正期間と同じくらいの期間がかかる場合が一般的です。
【治療内容】
歯の矯正で抜歯を行うのは、限られたスペースに歯をキレイに並べるために行います。
歯並びが悪くなる原因は主に、歯の数や大きさに対してあごの骨格が小さいことにあります。歯があごに収まりきっていないために歯並びが悪くなっている場合は、噛み合わせに比較的影響のない歯を抜歯し、スペースを作る方法です。
抜歯をせず無理に並ばせようとすると、もとの歯並びに戻る「後戻り」がおきたり、口元のシルエットが膨らんだりするおそれがあります。
画像の症例では、小臼歯4本を抜歯することで、口元をスッキリと後ろに下げることができました。
症例情報
【患者】 30代女性
【主訴】 前歯の突出
【治療期間】2年3ヶ月 通院回数20回
【治療内容】上下左右の小臼歯4本を抜歯した後、マウスピース型カスタムメイド矯正歯科装置(製品名インビザライン 完成物薬機法対象外)を使用して主訴である前歯の突出の改善を行いました。
【費用】88万(税込)
【リスク】矯正歯科装置を付けた後しばらくは違和感、不快感、痛みなどが生じることがあります。
矯正中は矯正歯科装置が歯の表面についているため食物が溜まりやすく、また歯が磨きにくくなるため、虫歯や歯周病が生じるリスクがあります。
歯を動かすことにより歯根が吸収して短くなることや歯肉がやせて下がることがあります。
矯正歯科治療は公的健康保健の適応外の自費治療(自由診療)となります。
症例②:非抜歯+マウスピース型矯正装置
【治療内容】
非抜歯をしなくてもいい症例は、
・抜歯をしなくても、審美的・機能的に正しい咬合ができる
・抜歯をしなくても、美しい横顔がつくれる
といったケースです。
インビザライン矯正では、左右の奥歯を後ろに動かしてスペースを作ることで5㎜前後のスペースを作れます。これにより抜歯をせずに歯を動かすスペースを確保することができるのです。
ただし、歯を支える土台の骨がない部分へは移動が出来ないため、レントゲンやCTによる検査であらかじめ顎の骨の大きさなどを確認し、安全性を確保して治療を行わなければなりません。
画像の症例では、抜歯するほどではありませんが、患者さんより口元の印象を変化させたいとのご要望がありましたので、歯を薄く削るストリッピング法(IPR)を用いて、歯のスペースを確保し、前歯を後ろに下げました。
IPRでは、ヤスリのような器具で歯のエナメル質を0.2〜0.6㎜ほど削ります。虫歯や知覚過敏を誘発することはありません。複数の歯をある程度削ることによってスペースが作れます。軽度の症例のみに活用できる方法です。
一方で、歯の傾きが重度の場合、歯槽骨に小さなねじのようなアンカースクリューを埋め込み、これに固定源して歯を動かすインプラントアンカーを使う場合があります。抜歯が必要と言われたケースでも、このインプラントアンカーを使えば、非抜歯で矯正できる場合もあります。
【治療期間】
同じ方であっても、抜歯して矯正する場合と非抜歯で矯正する場合では歯の本数も歯を移動できる範囲も異なるため、最終的なゴール(見た目・歯並び)も変わります。
そのため、正確な治療期間についてはやはり矯正医の診断を仰ぐ必要がありますが、一般的には1年半〜2年ほどの場合が多いです。
マウスピース(アライナー)を装着して実際に歯を動かす「矯正期間」と、キレイにならんだ歯並びを固定させる「保定期間」の2つの工程が必要となります。
症例情報
【患者】20代女性
【主訴】上の前歯が出ている
【治療期間】1年8ヶ月 通院回数15回
【治療内容】親知らず2本を抜歯した後、マウスピース型カスタムメイド矯正歯科装置(製品名インビザライン 完成物薬機法対象外)を使用して主訴である上の前歯の突出の改善を行いました。
【費用】88万(税込)
【リスク】矯正歯科装置を付けた後しばらくは違和感、不快感、痛みなどが生じることがあります。
矯正中は矯正歯科装置が歯の表面についているため食物が溜まりやすく、また歯が磨きにくくなるため、虫歯や歯周病が生じるリスクがあります。
歯を動かすことにより歯根が吸収して短くなることや歯肉がやせて下がることがあります
矯正歯科治療は公的健康保健の適応外の自費治療(自由診療)となります。
症例③:あご(歯列)を拡大する
【治療内容】
あご(歯列)を拡大することにより、歯の土台のスペースに余裕を作る方法です。
歯は奥歯から前歯を通り逆側の奥歯へと、U字型に湾曲した土台に生えています。この土台の範囲内で歯列を外側に広げることで、より多くの歯が並ぶスペースを生み出すことが出来ます。
骨が成長途中のお子様であれば、この土台自体を拡大することも可能です。
どの程度歯列を外側に広げられるかはあごの大きさによって決まるため、あごの成長の終わった大人では拡大の程度に限界があります。
上顎は比較的拡大しやすいものの、下顎の拡大は難しいため適応できる症例は限られます。
【治療期間】
矯正医より「拡大装置による治療が可能」と診断された場合には、以下のような方法で治療を行います。
上顎の裏側に急速拡大装置を歯科医院で固定し、1ヶ月〜3ヶ月程度をかけて顎を拡大していきます。急速矯正装置での矯正期間中は、ご自宅で継続的に専用のネジまわしを使い拡大ネジを回し、歯列にかかる力をコントロールしていただきます。
ネジの回転の目安は通常、1日につき1/4回転。約0.2㎜の拡大することになります。継続すると30日で約6㎜程度、顎の幅を広げることができます。
1〜3ヶ月の矯正期間が終わった後は、装置の幅は固定したまま約6ヶ月装着します。
短期間で急速に左右のあごのつなぎ目の正中口蓋縫合部を広げるため、広げた部分の骨がまだしっかりできていないため、後戻りを防ぐため約6ヶ月間は装置をつけたまま骨ができるのを待ちます。
横顔のビフォーアフターがシミュレーション可能になりました
一般的には印象材を使って行う歯型取りですが、3Dデジタル口腔スキャナー(iTero element)と使うことにより患者様に負担なく歯型が取れるだけでなく、その取得したデータをもとにお口の中の3D画像を作製できその画像を使ってコンピューター上で矯正治療による歯の移動のシミュレーションをすることができます。
術前・術後の歯並びを事前に見ることができるので、治療後のイメージをすることができます。
矯正治療を受ける患者様は目指すゴールが一人ひとり違います。
「歯並びやかみ合わせが気になるけど・・・装置が目立つのも嫌」
「矯正治療をする勇気が持てない・・・」
「どこまで改善できるのだろう・・・」
など色々な患者様がいらっしゃいます。
3D口腔内スキャナーで歯型をとることによってシミュレーションでイメージできます。
不安に思われている方もイメージできれば安心して治療をして受けたいただくことができるので、一度お近くの歯科医院でご相談されてみてはいかがでしょうか?
当院で行う矯正治療は、マウスピース型カスタムメイド矯正装置(製品名 インビザライン 完成物薬機法対象外)を1日20時間以上(目安)装着して歯を移動させる治療法です。
1週間~2週間毎に患者様ご自身で新しい装置へ交換していただくため、自己管理が重要です。
装置の枚数、交換のタイミング、治療期間は患者様ごとに異なるため、担当医の指示に従って治療を受ける必要があります。
マウスピース型矯正歯科装置(製品名インビザライン完成物薬機法対象外)は医薬品医療機器等法(薬機法)の承認を受けていない未承認医薬品です。
マウスピース型矯正歯科装置(製品名インビザライン完成物薬機法外)はアラインテクノロジー社の製品であり、インビザライン・ジャパン社を介して入手しています。
国内にもマウスピース型矯正歯科装置として医薬品医療機器等法(薬機法)の承認を受けているものは複数存在します。
【矯正歯科治療に伴う一般的なリスクや副作用について】
① 矯正歯科装置を付けた後しばらくは違和感、不快感、痛みなどが生じることがありますが、
一般的には数日間~1、2 週間で慣れてきます。
② 歯の動き方には個人差があり、予想された治療期間が延長する可能性があります。
③ 矯正歯科装置の使用状況、顎間ゴムの使用状況、定期的な通院など、矯正歯科治療には患者
さんの協力が必要であり、それらが治療結果や治療期間に影響します。
④ 治療中は矯正歯科装置が歯の表面に付いているため食物が溜りやすく、また歯が磨きにくく
なるため、むし歯や歯周病が生じるリスクが高まります。したがってハミガキを適切に行い、
お口の中を常に清潔に保ち、さらに、かかりつけ歯科医に定期的に受診することが大切です。
また、歯が動くと隠れていたむし歯があることが判明することもあります。
⑤ 歯を動かすことにより歯根が吸収して短くなることや歯肉がやせて下がることがあります。
⑥ ごくまれに歯が骨と癒着していて歯が動かないことがあります。
⑦ ごくまれに歯を動かすことで神経が障害を受けて壊死することがあります。
⑧ 矯正歯科装置などにより金属等のアレルギー症状が出ることがあります。
⑨ 治療中に顎関節の痛み、音が鳴る、口が開けにくいなどの症状が生じることがあります。
⑩ 治療の経過によっては当初予定していた治療計画を変更する可能性があります。
⑪ 歯の形の修正や咬み合わせの微調整を行う可能性があります。
⑫ 矯正歯科装置を誤飲する可能性があります。
⑬ 矯正歯科装置を外す際にエナメル質に微小な亀裂が入る可能性や、かぶせ物(補綴物)の一
部が破損する可能性があります。
⑭ 動的治療が終了し装置が外れた後に現在の咬み合わせに合った状態のかぶせ物(補綴物)や
むし歯の治療(修復物)などをやりなおす必要性が生じる可能性があります。
⑮ 動的治療が終了し装置が外れた後に保定装置を指示通り使用しないと、歯並びや、咬み合せ
の「後戻り」が生じる可能性があります。
⑯ あごの成長発育により咬み合せや歯並びが変化する可能性があります。
⑰ 治療後に親知らずの影響で歯並びや咬み合せに変化が生じる可能性があります。また、加齢
や歯周病などにより歯並びや咬み合せが変化することがあります。
⑱ 矯正歯科治療は一度始めると元の状態に戻すことは難しくなります。

監修者:増岡尚哉
歯科医師・歯学博士(D.D.S. , Ph.D.)|マウスピース型カスタムメイド矯正歯科装置(製品名インビザライン 完成物薬機法対象外)の講師として歯科医師向けに講義・講演活動をしています。
この記事をシェアする
関連した記事
関連した記事はありません。