Before

After

治療期間 年齢 範囲 抜歯有無 費用
2年 28歳4ヶ月 全体矯正 80万円

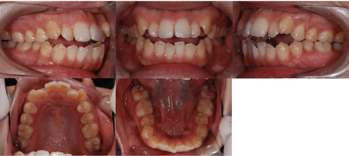
治療前


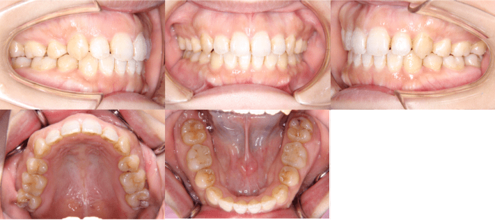
治療後


  • 初診時年齢:28歳4ヶ月
  • 主訴:前歯のかみ合わせ
  • 診断:開咬
  • 治療内容:小臼歯4本を抜歯した後に、インビザラインを使用して主訴である開咬の改善を行いました。
  • 治療期間:2年
  • リスク:矯正治療による歯の移動に伴う痛み、歯根吸収、虫歯
  • 費用:80万円

少しでも当院の矯正治療に興味のございます方は、初診カウンセリング​からお申込みください。

初診カウンセリング


マウスピース型カスタムメイド矯正歯科装置(製品名インビザライン 完成物薬機法対象外)


  • 東京日本橋エムアンドアソシエイツ矯正歯科(以下、当院)が使用するマウスピース型カスタムメイド矯正歯科装置(製品名インビザライン 完成物薬機法対象外)は、日本国の薬機法上の医療機器および歯科技工士法上の矯正装置、日本国歯科技工士法上の矯正装置に該当しません。薬機法の対象外であるため、医薬品副作用被害救済制度の対象とならない場合があります。
  • 当院で使用しているマウスピース型カスタムメイド矯正歯科装置(製品名インビザライン 完成物薬機法対象外)以外に、日本で承認を得ている医療機器・矯正装置は存在します。
  • 当院で使用しているマウスピース型カスタムメイド矯正歯科装置(製品名インビザライン 完成物薬機法対象外)は、担当歯科医師の全責任において使用されるものです。

より詳しいご説明はコチラから

マウスピース型カスタムメイド矯正装置とは?

治療内容、およびメリット・デメリットについて

治療内容

■当院で行う矯正治療は、マウスピース型カスタムメイド矯正装置(製品名 インビザライン 完成物薬機法対象外)を1日20時間以上(目安)装着して歯を移動させる治療法です。
■1週間~2週間毎に患者様ご自身で新しい装置へ交換していただくため、自己管理が重要です。
■装置の枚数、交換のタイミング、治療期間は患者様ごとに異なるため、担当医の指示に従って治療を受ける必要があります。

治療にかかる費用

■個々の症例により異なりますが、全顎の矯正治療にかかる費用は400,000円~800,000円 (税抜)です。
※矯正治療は自費診療(保険適応外)となります。
※適応は限られますが、軽度の方や部分矯正が可能な方に対応したものもございます。

考えられるリスク・注意点

■マウスピースは担当医の指示に従い、1日20時間以上装着する必要があります。
■口腔内の状況に応じて、本矯正治療では対応できないこと・または補助矯正器具が必要になるケースがあります。
■装着時間や経過観察を正しく行えない場合、良好な治療結果が得られない・治療期間が延長するなどのリスクが考えられます。
■新しい装置に交換後1~3日ほどは痛みや違和感が出ることがあります。
■治療後には、後戻りを防ぐために保定装置(リテーナー)の装着が必要です。
■薬機法未承認の矯正歯科装置であり、医薬品副作用被害救済制度の対象外となる場合があります。


■「マウスピース型カスタムメイド矯正装置(製品名 インビザライン 完成物薬機法対象外)」を使用した治療リスク・副作用

■薬機法において承認されていない医療機器「マウスピース型カスタムメイド矯正装置(製品名 インビザライン 完成物薬機法対象外)」について

当院でご提供している「マウスピース型カスタムメイド矯正装置(製品名 インビザライン 完成物薬機法対象外)」は、薬機法(医薬品医療機器等法)においてまだ承認されてい ない医療機器となりますが、当院ではその有効性を認め、導入しています。

■舌側矯正にともなう一般的なリスク・副作用


■部分矯正にともなう一般的なリスク・副作用


  • 機能性や審美性を重視するため公的健康保険対象外の自費診療となり、保険診療よりも高額になります。

  • 前歯6本だけを治す方法なので、噛み合わせは改善できません。噛み合わせの改善を希望される方は、全顎の矯正治療が必要となります。

  • 症状によっては、でこぼこの前歯がきれいに並ぶスペースを確保するため、歯と歯の間を削る必要があります。しかし、エナメル質(歯の表面)を0.3~0.8mmほど削る程度なので、歯への支障はほとんどありません。

  • 前歯だけの治療となり動きが限られているので、症状によっては希望どおりに仕上がらないことがあります。
  • PAGE
    TOP