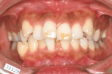
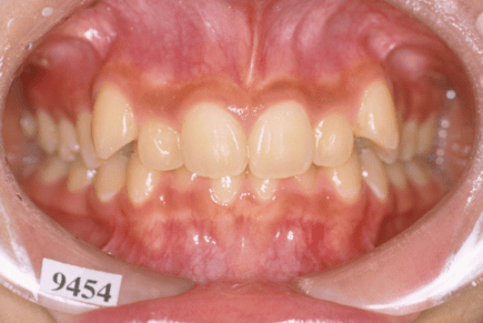
叢生(そうせい)
- 監修者:増岡尚哉
叢生とは?
叢生とは、歯並びがデコボコの状態のことを指します。
歯並び・かみ合わせが悪い状態を不正咬合といいます。
その不正咬合の原因はひとつではありません。
- 遺伝
- 習癖
- 人種
- 性別
様々なことが複雑に絡み合って、そのような状態になっています。
例えば、叢生(デコボコ)は、主に“歯の大きさと顎の骨の横幅のアンバランス”が原因でおこります。一方、上顎前突(出っ歯)は、指しゃぶりなどの“悪習癖”や“上下の顎の骨の大きさのアンバランス”が原因でおこります。下顎前突(受け口)なども同じです。
叢生(デコボコ)
原因:歯の大きさと顎の骨の横幅のアンバランス
叢生(そうせい)の原因とは?
一般的には、一つ一つの歯の大きさと顎の骨の大きさとのバランスが悪いことが叢生の原因とされております。
通常の場合(バランスが良い状態)
顎が小さくバランスが悪い状態
歯が大きくバランスが悪い状態
この他にも、子供の歯並びから永久歯への生え変わりがうまくいかなかったり、虫歯などで子供の歯を早くに失ってしまったことで、叢生が生じてしまう方もいらっしゃいます。歯並び・かみ合わせは人生を通して常に変化するものですから、食いしばりの癖が強い方などは年齢を重ねるにつれ叢生がひどくなってきたとおっしゃられる方もおられます。
叢生(そうせい)を放置するリスクとは
叢生がある方ですと、歯磨きが難しいのでお口の中をきれいにするのに多くの時間を必要とします。ご自身の歯磨きが難しい部分を理解して、毎回時間をかけてきれいにしていただければよいのですが、それができませんと叢生の部分は不潔になりやすく、虫歯や歯周病に罹患しやすくなってしまいます。
また、叢生部分ではかみ合わせが均等でないことが多いため特定の歯だけがすり減って歯の形がいびつになったりしてしまうこともあります。
矯正治療では歯の形を変えることはできませんので、歯のすり減りが原因で矯正治療後でも歯の高さが合わない場合には、被せ物の治療などが必要になる場合があります。
歯科医師に直接ご自身の歯並びをチェックして欲しい方は初診カウンセリングをご利用ください
当院が使用するマウスピース型カスタムメイド矯正装置(製品名 インビザライン 完成物薬機法対象外)は、日本国内の医薬品医療機器等法(薬機法)における医療機器および歯科技工士法上の矯正装置に該当しません。日本薬機法上の医療機器として認証・承認を得ていない装置であるため、担当歯科医師の全責任において治療が行われます。
▼より詳しいご説明はコチラから
マウスピース型カスタムメイド矯正装置とは?
| 治療内容 | ■当院で行う矯正治療は、マウスピース型カスタムメイド矯正装置(製品名 インビザライン 完成物薬機法対象外)を1日20時間以上(目安)装着して歯を移動させる治療法です。 ■1週間~2週間毎に患者様ご自身で新しい装置へ交換していただくため、自己管理が重要です。 ■装置の枚数、交換のタイミング、治療期間は患者様ごとに異なるため、担当医の指示に従って治療を受ける必要があります。 |
|
| 治療にかかる費用 | ■個々の症例により異なりますが、全顎の矯正治療にかかる費用は400,000円~800,000円 (税抜)です。 ※矯正治療は自費診療(保険適応外)となります。 ※適応は限られますが、軽度の方や部分矯正が可能な方に対応したものもございます。 |
|
| 考えられるリスク・注意点 | ■マウスピースは担当医の指示に従い、1日20時間以上装着する必要があります。 ■口腔内の状況に応じて、本矯正治療では対応できないこと・または補助矯正器具が必要になるケースがあります。 ■装着時間や経過観察を正しく行えない場合、良好な治療結果が得られない・治療期間が延長するなどのリスクが考えられます。 ■新しい装置に交換後1~3日ほどは痛みや違和感が出ることがあります。 ■治療後には、後戻りを防ぐために保定装置(リテーナー)の装着が必要です。 ■薬機法未承認の矯正歯科装置であり、医薬品副作用被害救済制度の対象外となる場合があります。 |
- 公開日:2019/10/21
- 更新日:2024/05/22

監修者:増岡尚哉
歯科医師・歯学博士(D.D.S. , Ph.D.)|マウスピース型カスタムメイド矯正歯科装置(製品名インビザライン 完成物薬機法対象外)の講師として歯科医師向けに講義・講演活動をしています。