開咬
- 監修者:増岡尚哉
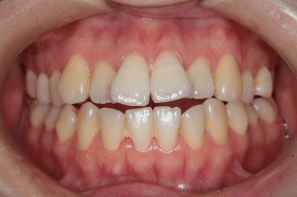
開咬(前歯のかみ合わせが悪い)とは?
奥歯をかみ合わせた際に、上下の前歯がかみ合わず、上下的に隙間がある状態を指します。
開咬(前歯のかみ合わせが悪い)の原因とは?
開咬の原因として
- 上下の顎の骨の位置に異常がある場合
- 発音や嚥下の際の舌の使い方が間違っていて歯並びに悪影響を及ぼして生じる場合
- 幼少期の指しゃぶり
などが原因として考えられます。
開咬(前歯のかみ合わせが悪い)を放置するリスク
開咬を放置すると、正しいかみ合わせよりも奥歯に係る負担が大きくなり、長期的には奥歯を早く失う原因にもなると考えられます。
また、開咬は舌癖との関連が強いため、開咬が放置されると正しい発音や嚥下が行われず、機能的にも異常な状態といえます。
人間の歯は上下すべてで28本あります。加齢や虫歯などさまざまな理由により歯を喪失してしまいます。歯が20本あると健康的な生活を送ることができます。厚生労働省では8020運動として80歳で20本の自分の歯を残そうと活動をしています。
不正咬合者の8020達成者についての調査では、
- 正常咬合者は56.9%
- 上顎前突は17.6%
- 過蓋咬合は25.5%
- 反対咬合は0%
- 開咬は0%
となっており、反対咬合と開咬の方は8020を達成した人は1人もいませんでした。
歯科医師に直接ご自身の歯並びをチェックして欲しい方は初診カウンセリングをご利用ください。
当院が使用するマウスピース型カスタムメイド矯正装置(製品名 インビザライン 完成物薬機法対象外)は、日本国内の医薬品医療機器等法(薬機法)における医療機器および歯科技工士法上の矯正装置に該当しません。日本薬機法上の医療機器として認証・承認を得ていない装置であるため、担当歯科医師の全責任において治療が行われます。
▼より詳しいご説明はコチラから
マウスピース型カスタムメイド矯正装置とは?
| 治療内容 | ■当院で行う矯正治療は、マウスピース型カスタムメイド矯正装置(製品名 インビザライン 完成物薬機法対象外)を1日20時間以上(目安)装着して歯を移動させる治療法です。 ■1週間~2週間毎に患者様ご自身で新しい装置へ交換していただくため、自己管理が重要です。 ■装置の枚数、交換のタイミング、治療期間は患者様ごとに異なるため、担当医の指示に従って治療を受ける必要があります。 |
|
| 治療にかかる費用 | ■個々の症例により異なりますが、全顎の矯正治療にかかる費用は400,000円~800,000円 (税抜)です。 ※矯正治療は自費診療(保険適応外)となります。 ※適応は限られますが、軽度の方や部分矯正が可能な方に対応したものもございます。 |
|
| 考えられるリスク・注意点 | ■マウスピースは担当医の指示に従い、1日20時間以上装着する必要があります。 ■口腔内の状況に応じて、本矯正治療では対応できないこと・または補助矯正器具が必要になるケースがあります。 ■装着時間や経過観察を正しく行えない場合、良好な治療結果が得られない・治療期間が延長するなどのリスクが考えられます。 ■新しい装置に交換後1~3日ほどは痛みや違和感が出ることがあります。 ■治療後には、後戻りを防ぐために保定装置(リテーナー)の装着が必要です。 ■薬機法未承認の矯正歯科装置であり、医薬品副作用被害救済制度の対象外となる場合があります。 |
- 公開日:2019/10/21
- 更新日:2024/05/22

監修者:増岡尚哉
歯科医師・歯学博士(D.D.S. , Ph.D.)|マウスピース型カスタムメイド矯正歯科装置(製品名インビザライン 完成物薬機法対象外)の講師として歯科医師向けに講義・講演活動をしています。