矯正医が考える「矯正できない例」とは?矯正で後悔しないために知っておきたいこと
- 公開日:2021/10/30
- 監修者:増岡尚哉
- 更新日:2025/12/02
「矯正治療をしたいと思っていたのに、『あなたはできません』と言われた…」
そんな経験や不安をお持ちの方はいませんか?
実は、“矯正がまったくできない人”はごく一部です。
多くの場合、治療方法や時期、装置の選び方を工夫することで矯正は可能になります。
この記事では、矯正が難しいとされる代表的なケースやその原因、
そして「矯正できない」と言われたときの正しい対処法を、矯正専門医が分かりやすく解説します。
【目次】
1.歯列矯正できないと考えられる理由
2.歯列矯正が難しいと言われる代表的な症例
2-1 ①歯の根っこ部分と骨が癒着している(アンキローシス)
2-2 ②歯槽骨がない、重度の歯周病である
2-3 ③骨格的に問題がある
3.自分の歯は大丈夫?セルフチェックリスト
4.骨や歯ぐきの状態がカギになる
5.「矯正できない」と言われたらどうすればいい?
6.諦めずに、信頼できる専門医へ相談を
6-1 当院ではセカンドオピニオンのご相談も受け付けています
7.よくある質問(Q&A)
歯列矯正できないと考えられる理由
歯列矯正で歯を動かす代表的な治療方法は、ワイヤーの力を使って動かす方法や、マウスピースを装着して動かす方法があります。そのような方法を使っても歯が動かないとなると多くの場合、矯正治療は進まない、あるいは治療自体が難しいことがあります。
歯が動かない原因には「アンキローシス」という歯根と骨が癒着している場合や、重度の歯周病で骨が溶けてなくなっている場合などが考えられます。
これらの症例を詳しく解説します。
歯列矯正が難しいと言われる代表的な症例
①歯の根っこ部分と骨が癒着している(アンキローシス)
「アンキローシス」とは何らかの原因で歯根膜が失われ、歯の根っこと歯を支えている骨が直接繋がっている状態を言います。
多くの場合、転倒したり物にぶつかったり、スポーツなどで顔面にボールや人が当たることで、歯に強い衝撃が加わり歯根膜はダメージを受けて壊され、歯の根っこと骨がくっついてしまいます。
アンキローシスになった場合、骨の中で起こっていることなので目で見える範囲では見分けがつきにくく、痛みや違和感もほとんどないため気付かないことが多いです。
乳歯でアンキローシスが起こると、次に生えてくる永久歯に大きな影響を与えることがあります。アンキローシスの乳歯は骨とくっついていることで生え変わるための動きが悪くなり、乳歯の下で生えるのを待っている永久歯はなかなか生え変われないことがあります。そうなると歯並びやかみ合わせにも影響が出てきます。
また、乳歯を何かにぶつけたことが原因で、後続の永久歯がアンキローシスになることもあります。
歯と骨がくっついているアンキローシスの歯があると、歯列矯正をしても1本だけ動かない歯がある、という現象が起こることが考えられます。
②歯槽骨がない、重度の歯周病である
毎日の歯磨きが不十分だと歯に汚れが付いたままになります。歯と歯茎の境目にプラークが溜まると歯肉が赤く腫れて出血してきます。その状態が続くと歯周病菌が歯と骨の隙間に入り込んでいき、悪化すると歯を支えている骨が溶けて出血や膿が出たりします。
これを歯周病といい、成人の80%以上の人が歯周病になっていると言われています。
矯正治療は歯に力をかけて歯を動かす時、歯と骨の間に隙間ができ健康な口腔内であれば、その隙間は骨が再生されていきます。しかし歯周病の治療をしないまま矯正治療を開始すると歯の根っこと骨の間に空いた隙間に歯周病菌が入りこみ、健康な歯周組織が歯周病になってしまいます。
つまり矯正治療が進むたびに歯周病がどんどん悪化してしまうことになります。歯周病が進むと歯を支えている歯槽骨は溶けてなくなり、歯並びを整える以前に歯が抜けてしまうリスクが高くなります。
矯正治療を行う前には必ず歯周病の検査と治療が必要と言えます。
③骨格的に問題がある
歯並びが悪くなる原因の一つに骨格があります。
歯列矯正によってお口全体の歯並びを整えることで改善される場合と、重度の叢生や上顎前突になると外科手術を組み合わせて歯列矯正を行う場合があります。
【叢生】
下の顎が小さいために下の歯がきれいに並べずガタガタしたり重なって生えている状態を言います。叢生の程度が軽い場合は歯と歯の間を削って隙間を開けて並べることができますが、重度になると歯が並ぶスペースを確保するために抜歯をする必要があります。
【上顎前突・下顎前突】
上の顎が前に大きく突き出る「上顎前突」や下の顎が前に大きく突き出る「下顎前突」の場合はそれぞれの顎が大きく成長したことで突き出ます。子供の成長期であれば、顎の成長を抑える治療を併用して歯並びを整えることができますが、成長しきった大人では、外科手術によって骨を切ったあと矯正治療をする場合があります。
【開咬】
奥歯でカチッとかみ合わせても前歯に隙間ができて、上下の歯がかみ合わない状態を「開咬」といいます。開咬は前歯の傾きや並びを整えるだけで改善できる場合から、顎の骨を外科手術によって整える「形成手術」を行い、矯正治療を併用して行う場合があります。
自分の歯は大丈夫?セルフチェックリスト
次の項目にいくつ当てはまりますか?
2つ以上該当する場合は、まず歯科医院での相談をおすすめします。
- 歯ぐきの腫れや出血がある
- 歯がグラグラしたり、浮いたように感じる
- 顎の痛みやカクッという音がある
- 虫歯や被せ物が多く、噛み合わせが不安定
- 顎の位置や顔の左右差が気になる
- 長期間、口呼吸や舌癖がある
これらは、矯正そのものよりもお口の健康状態を整えることが先決であるサインです。
虫歯や歯周病、顎関節のトラブルを治療してから矯正を始めれば、ほとんどの場合、矯正が可能になります。
骨や歯ぐきの状態がカギになる
矯正治療では、歯を支える歯槽骨や歯ぐきの健康状態がとても大切です。
これらが弱っていると、歯を動かす力に耐えられず、歯ぐきの下がりや歯の脱落につながるリスクがあります。
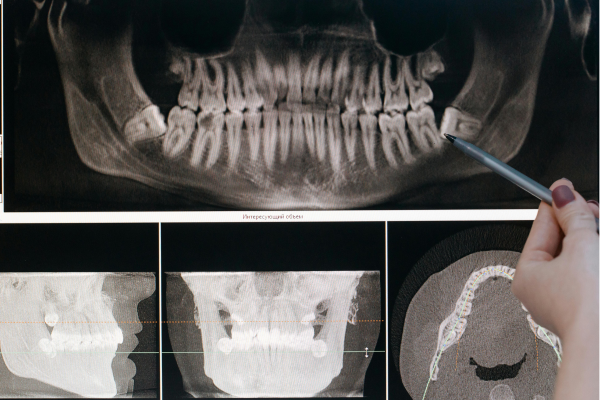
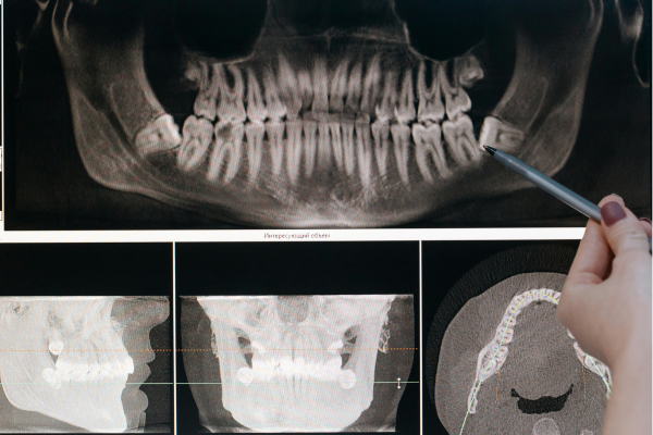
当院では、矯正前に必ずCTスキャンやレントゲン撮影を行い、骨の厚みや密度、歯の角度を正確にチェックしています。
【専門医コメント(増岡尚哉)】
「骨や歯ぐきが弱っている方でも、まず環境を整えてから矯正を行えば対応可能な場合が多いです。
“できない”と諦める前に、“できる状態に整える”ことを考えるのが大切です。」
「矯正できない」と言われたらどうすればいい?
他院で「矯正は難しい」と言われたとしても、 医院ごとに診断機器や治療方針が異なるため、セカンドオピニオンを受けることで矯正が可能になることもあります。
【見直してほしいポイント】
- CTや3Dスキャン、セファロなどの精密検査を受けているか
- 歯周病や虫歯の治療が済んでいるか
- 顎の成長や噛み合わせの状態が考慮されているか
- 新しい治療法(アンカースクリュー矯正、マウスピース矯正など)が提案されたか
もし説明が不十分なまま「できません」と言われた場合は、別の矯正専門医に相談してみることをおすすめします。
一つの意見だけで諦めてしまうのはもったいないかもしれません。
諦めずに、信頼できる専門医へ相談を
「矯正できない」と言われても、 本当に“できない”ケースはごくわずかです。
大切なのは、焦らずにお口全体の健康を整え、正確な診断を受けること。
当院では、CTや3Dシミュレーションによる精密診断を行い、一人ひとりの状態に合わせた最適な治療方法をご提案しています。
当院ではセカンドオピニオンのご相談も受け付けています
「矯正治療ができない」と言われた方でも、どうぞご安心ください。
当院では、セカンドオピニオンのご相談を随時受け付けております。
矯正治療の可否をより正確に判断するために、 セファロ撮影や口腔内スキャンに加えて、3次元CT撮影装置も導入。2次元・3次元の両面から分析を行うことで、 矯正治療が「できる・できない」をより多角的に診断いたします。
「矯正できない」と言われた方も、あきらめる前に一度ご相談ください。 状況をしっかり見極め、あなたに合った最善の方法を一緒に考えます。
よくある質問(Q&A)
Q1. 他院で「矯正はできない」と言われました。本当に無理ですか?
A. 医院ごとに診断基準や治療設備が異なります。当院ではCT検査などを行い、改めて判断しています。多くの場合は方法を変えることで対応可能です。
Q2. 歯周病があっても矯正はできますか?
A. 軽度〜中等度であれば、歯周病治療を終えてから矯正を行えば問題ありません。骨の回復を待つことで安全に進められます。
Q3. 顎が小さいと言われた場合、矯正は諦めるしかないですか?
A. 成長期のお子さまは顎の成長を促す矯正が可能です。成人の方でも、抜歯やアンカースクリューを併用してスペースを確保できれば、矯正できる可能性もあります。
Q4. 全身疾患がありますが、矯正できますか?
A. 糖尿病や骨粗しょう症などの疾患がある方も、医師と連携して慎重に進めれば治療可能です。服薬中の方は事前にご相談ください。
当院ではセカンドオピニオンのご相談も受け付けています
「矯正治療ができない」と言われた方でもご安心ください。
当院ではセカンドオピニオンのご相談を随時受け付けております。
セファロ撮影や口腔内のスキャンはもちろん、3次元CT撮影装置も設置しており、2次元・3次元での検査・分析を多角的に行うことができるので、矯正治療が「できる・できない」をしっかりと判断します。
「矯正治療ができない」を諦めず、一度当院にお気軽にご相談ください。
関連記事:
「マウスピース型カスタムメイド矯正歯科装置(製品名インビザライン完成物薬機法対象外)」とは?

監修者:増岡尚哉
歯科医師・歯学博士(D.D.S. , Ph.D.)|マウスピース型カスタムメイド矯正歯科装置(製品名インビザライン 完成物薬機法対象外)の講師として歯科医師向けに講義・講演活動をしています。
この記事をシェアする
関連した記事
関連した記事はありません。