大人の出っ歯は矯正で治療!症状別の治療法と費用、治療期間を解説
- 公開日:2022/12/08
- 監修者:増岡尚哉
- 更新日:2025/12/01
厚生労働省の調査によると、日本人の「出っ歯」(上顎前突)の割合は12.9%(平成23年歯科疾患実態調査より)。実に8人に1人が「出っ歯」で、多くの患者様が顔の表情や噛み合わせに影響が出ることから、治療を希望されています。
マウスピース型矯正装置(インビザライン)による矯正を行えば、出っ歯を治して美しい歯並びを手に入れることができます。
今回は、出っ歯の原因や治療方法について詳しく解説していきます。
出っ歯とは
出っ歯とは、上あごや上の前歯が前に突出している状態を表します。上下の歯が正しくかみ合わない不正咬合(ふせいこうごう)の1つで、歯科専門用語では上顎前突(じょうがくぜんとつ)といいます。
日本人はあごの骨の大きさに対して歯が大きい傾向にあり、欧米人に比べて出っ歯になりやすいといわれています。審美的な問題はもちろん、出っ歯を治療しないと様々な健康上のリスクを引き起こします。具体的には次のようなものが挙げられます。
大人の出っ歯を放置するリスク
1.噛み合わせの悪化
出っ歯が進行すると、上下の歯の噛み合わせが悪くなり、食事時に効率よく食べ物を噛むことが難しくなります。これにより、消化不良や顎関節症などの問題を引き起こすリスクが高まります。また噛み合わせが悪いと歯に負担がかかり、歯の寿命を早めてしまいます。適切な噛み合わせを保つことは、全身の健康にもつながるため、早めの治療をおすすめします。
2.ドライマウスになる
出っ歯の場合、意識的に口を閉じないとポカンと口が開いた状態になってしまいます。このため口内が乾いたドライマウスとなり、抗菌作用のある唾液が減ることで口臭や歯周病の原因になります。他にも、ろれつが回らなくなったり、睡眠障害を引き起こしたりする場合もあります。
3.胃腸に負担がかかる
意外に思われるかもしれませんが、出っ歯は胃腸など消化器官にも影響を及ぼします。歯のかみ合わせが悪いと食べ物を十分に噛み砕くことができず、消化するときに余分なエネルギーを必要とします。これにより体の他の部分にエネルギーが行き渡らなくなってしまい、学業や仕事に集中できなくなることもあります。
4.歯の寿命が短くなる
かみ合わせが悪いと歯に負担がかかり、歯の寿命を早めてしまいます。
歯の寿命は健康寿命に影響すると言われており、歯を悪くしたり失ったりすることで全身の病気につながる可能性があるのです。
5.見た目のコンプレックスにつながる
出っ歯の方が意識的に口を閉じようとすると、表情筋が緊張して怒ったような表情になったり、あごに梅干しのようなシワができたりします。また横から見ると鳥のように口元が突き出て見えるため、横顔が気になるという方も少なくありません。見た目を気にするあまり、精神面に影響が出てしまうこともあります。
6.虫歯や歯周病のリスクが高まる
出っ歯を放置すると、歯並びの乱れにより歯磨きが難しくなり、歯垢が溜まりやすくなるため、虫歯や歯周病のリスクが高まります。
噛み合わせの不調で歯茎や骨に負担がかかり、歯周病が進行しやすくなります。さらに、歯肉退縮や口呼吸による口内乾燥が原因で、口内環境が悪化します。歯周病が進行すると歯を支える骨が溶け、最悪の場合、歯の欠損に繋がる可能性があるため、早めの対処が重要です。
7.発音が不明瞭になる
出っ歯の影響で、発音が不明瞭になることがあります。特にサ行やタ行など、舌が前歯に触れる音を正確に発音しにくくなります。前歯が突出していると、舌の動きが制限され、正しい位置で発音できなくなるためです。
これにより、話している時に空気が漏れたり、音が歪んでしまうことがあります。発音が不明瞭だとコミュニケーションに支障をきたし、自信を失ったり、人前で話すことに対して不安を感じることもあります。
これらのリスクを防ぐためにも、早めに歯科医に相談し、適切な治療を受けることが重要です。
出っ歯の原因とは?
出っ歯になってしまう原因は、大きく分けて2種類あります。
1つ目は先天的なもの(遺伝的要素)で、生まれ持った骨格に起因します。
上あごが大きすぎたり、逆に下あごが小さすぎたりすると、上の前歯が前に出ているように見えます。先天的な出っ歯は、歯列矯正をしなければ改善されません。また、症状が重度の場合はあごの骨を削る外科手術を伴う場合もあります。
2つ目は後天的なもので、無意識に行っている癖や習慣が原因となるものです。
実は、出っ歯の原因の7割は後天的なものと言われています。ここで言う癖や習慣とは、赤ちゃんのときの指しゃぶりや、爪を噛む癖などが挙げられます。このような癖のある子供は成長過程で出っ歯になってしまう可能性があります。お子さんにこのような症状を見つけたときには、癖にならないよう直してあげてくださいね。
症状別、出っ歯の矯正例
ここでは、出っ歯を矯正した治療例を症状別に2つご紹介します。
矯正治療は基本的に自由診療のため、歯科医院によって治療費に幅がある点に注意しましょう。マウスピース型矯正装置(インビザライン)による当院の矯正では、大人であれば40万円〜80万円で治療することができます。装置を正しく装着し適切な間隔で通院すれば、1年半から3年で治療が完了します。
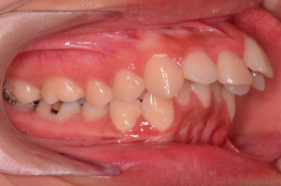
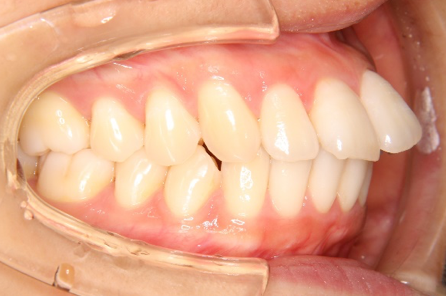
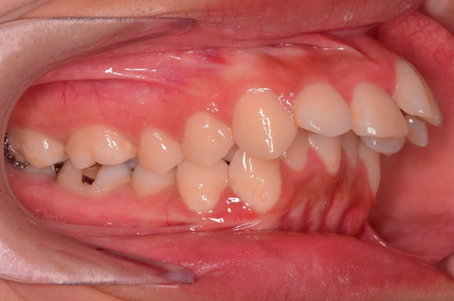
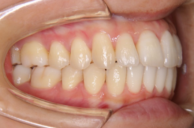
1.奥歯のかみ合わせに問題がない場合
1つ目は、奥歯のかみ合わせには問題がなく、前歯だけが突出している症例です。このような場合、IPR(interproximal reduction:隣接面削合)という手法でいくつかの歯を削り少しずつ小さくしていきます。これにより、前歯を後ろに下げるためのスペースを確保します。
どの歯をどの程度削るのかは、治療計画の段階で担当医が判断します。症例に合わせて、IPRによって抜歯せずに出っ歯を改善する方法を選択していくことが可能です。
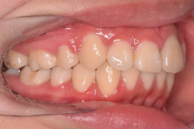
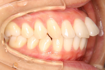
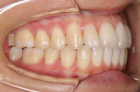
2.上あごが前に出ている場合
2つ目にご紹介するのは、奥歯のかみ合わせのずれが大きく、さらに上あごの歯茎と歯が前に突き出ている症例です。
前歯が唇のほうに大きく傾斜しており、奥歯に大きなずれが生じています。こういった場合は、抜歯をしてかみ合わせを調整しなければなりません。上あごの4番目の歯(第一小臼歯)を抜歯し、上の前歯を後ろに下げるなどして出っ歯を改善していきます。
マウスピース型矯正装置(インビザライン)なら、周りの目を気にすることなく、ワイヤー矯正と比べて短い期間で歯並びを改善することができます。他院で「ワイヤー矯正でないと治らない」と言われた方も、インビザラインによる矯正で直せる可能性があります。
出っ歯でお悩みの方は、ぜひ無料のカウンセリングをお受けください。カウンセリングでは、腔内診察、口腔内写真、治療後の歯並びをイメージできるiTeroによるシミュレーションで、インビザラインのメリットとデメリット、治療費用や期間を詳しくお伝えしています。

監修者:増岡尚哉
歯科医師・歯学博士(D.D.S. , Ph.D.)|マウスピース型カスタムメイド矯正歯科装置(製品名インビザライン 完成物薬機法対象外)の講師として歯科医師向けに講義・講演活動をしています。
この記事をシェアする
関連した記事
関連した記事はありません。