歯の正中線の正しい位置はどこ?歯の中心のずれの治し方
- 公開日:2020/04/23
- 監修者:増岡尚哉
- 更新日:2025/07/22
最近、歯のかみ合わせが悪くなった、上手に噛めないと感じることはありませんか?歯の中心がずれたことによる「正中不一致(せいちゅうふいっち)」が原因かもしれません。歯の中心がずれると噛み合わせが悪くなってきちんと食べられないばかりか、頭痛や肩こりを引き起こす原因にもなります。
今回は、歯の中心の正しい状態や、ずれていた場合どのようにして治療するのかについてご紹介します。
【目次】
1、ずれている?正常?まずは歯並びチェック
・歯の中心のずれを放置すると…
・歯科矯正で治療できる正中不一致の例
2、歯の中心のずれを改善する治療例
・マウスピース型矯正装置による治療例
・治療例①8歳11ヶ月
・治療例➁7歳4ヶ月
・治療例③25歳7ヶ月
・正中線のズレは自力で改善できるの?
・正中線のズレはマウスピース型矯正装置で治療可能?
ずれている?正常?まずは歯並びチェック
まずは、ご自身の歯並びが正常なのかそれともずれているのか、セルフチェックから始めましょう。一般的に、以下の条件をすべて満たしているなら歯並びは正常であるといわれています。
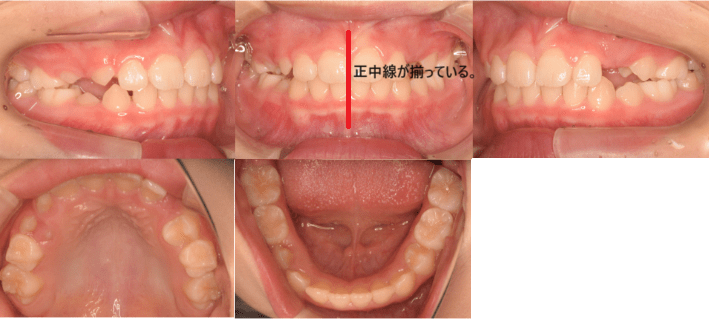
【条件①】前歯の間の線が上下繋がっている
正常な歯並びの方は、上の歯と下の歯の中心が繋がり、一本の線になっています。もし繋がっていない場合、左右の噛み合わせが非対称となって上か下の歯が横にずれていることになります。
【条件②】上の前歯が下の前歯に重なっている
奥歯をしっかりと噛みしめると、下の前歯に上の前歯が2mmから3mmほど重なります。前歯の噛み合わせが浅かったり逆に深かったりするのは、歯並びがずれているサインです。
歯の中心のずれを放置すると…
あなたの正中(歯の中心のライン)は、左右対称であり、上下の歯並びの正中が一致しているでしょうか?あごのずれ・噛み合わせのずれを放置すると、骨格のバランスを崩したり、肩こり、頭痛、消化不良など全身のゆがみにつながることがあります。主に、次のような症状を感じることがあります。
【症例①】顎のズレを悪化させる
噛み合わせが左右にずれてしまっているため、下あごが上あごの真下に来ず横にずれると、顎のズレが悪化します。
【症例②】消化不良
うまく噛み砕くことができないため、食べ物が十分に細かくならないまま胃に入ってしまいます。その結果、胃に負担がかかって消化不良を起こす場合もあります。
【症例③】頭痛
物を噛む際使用する筋肉に「側頭筋」というものがあります。噛み合わせが悪いと、この筋肉が無理に使われることになり、頭痛へと繋がる可能性があります。
【症例④】肩こり
顎がずれることで頭が斜めになり、首の両側の「広頸筋」という筋肉が均等に使われなくなります。すると片方の広頸筋ばかりに負担がかかるようになるため、肩こりに繋がります。
歯科矯正で治療できる正中不一致の例
正中不一致はさまざまな原因がありますが、中には歯科矯正で治せるものもあります。
【例①】八重歯がある
八重歯があると、上の歯が全体的にそちらに寄ってしまっている。
【例②】生え変わりが早かった歯がある
乳歯が抜けて永久歯が生える際、乳歯が本来のタイミングより早く抜けてしまうと周りの歯が抜けた場所へと傾き、歯並びが崩れている。
【例③】噛み合わせに問題がある
歯が生えている向きによって噛み合わせがずれたり交差したりすると、その部分が原因となって正中不一致が起きている。
歯の中心のずれを改善する治療例
正中不一致の治療方法として有効なのが矯正治療です。矯正治療には、大きく分けて2つの方法が考えられます。
1.器具を装着する
歯の位置を調整する場合の、一般的な治療法です。歯の表や裏にワイヤーを装着して引っ張ったり、マウスピース型のプラスチックを複数使用したり、特定の歯を動かすスクリューを使用したりして歯並びを整えます。
2.外科手術
骨格的な問題で中心がずれている場合は、①や②と併用して外科手術を行うこともあります。顎骨を調整し、骨格を正常な状態に戻した後で器具の装着や抜歯を行います。
マウスピース型矯正装置による治療例
歯の中心のずれや歯並びの乱れを治療する方法として、もちろんワイヤー矯正で改善が可能ですが、マウスピース型矯正装置も選択肢の一つです。
この矯正治療では、マウスピースの装着により少しずつ歯を移動させ、上下の正中線を揃えていきます。
透明なので目立たない、食べる間や歯磨きの間は外せるといった点がありますが、反面、装着時間の自己管理が必要という面もあります。
正中不一致の症状は、歯が成長過程にあるこどもにより多く、これまで当院が行った治療例を紹介します。
治療例①8歳11ヶ月
| 初診時年齢 | 8歳11ヶ月 |
| 主訴 | 歯が生える隙間がない |
| 診断 | 正中線の不一致を伴う不正咬合 |
| 抜歯の有無 | 非抜歯 |
| 治療内容 | 子供の歯が片側だけ早くに抜けてしまったため、大人の歯が生える隙間がなく、上下の歯並びの正中線がずれていた。 マウスピース型カスタムメイド矯正歯科装置(製品名インビザライン完成物薬機法外)を使用して、早くに抜けてしまった乳歯の分の隙間を回復し、上下の歯並びの正中線を揃えました。 |
| 治療期間 | 9カ月 通院回数7回 |
| リスク | 矯正歯科装置を付けた後しばらくは違和感、不快感、痛みなどが生じることがあります。 治療中は矯正歯科装置が歯の表面に付いているため食物が溜りやすく、また歯が磨きにくくなるため、むし歯や歯周病が生じるリスクが高まります。 歯を動かすことにより歯根が吸収して短くなることや歯肉がやせて下がることがあります。 |
| 費用 | 40万円 |
矯正歯科治療は公的健康保険の適用外の自費診療(自由診療)となります。
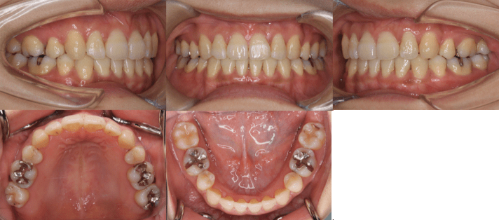
【治療前】
【治療後】
治療例➁7歳4ヶ月
| 初診時年齢 | 7歳4ヶ月 |
| 主訴 | 前歯の隙間が気になる |
| 診断 | 正中線の不一致と叢生を伴う過蓋咬合 |
| 抜歯の有無 | 非抜歯 |
| 治療内容 | マウスピース型カスタムメイド矯正歯科装置(製品名インビザライン完成物薬機法外)を使用して主訴である前歯の隙間を閉じると同時に永久歯の生える場所を確保すると同時に、前歯のかみ合わせが深い過蓋咬合についても前歯の重なりがなくなるように改善しました。 |
| 治療期間 | 9カ月 通院回数8回 |
| リスク | 矯正歯科装置を付けた後しばらくは違和感、不快感、痛みなどが生じることがあります。 治療中は矯正歯科装置が歯の表面に付いているため食物が溜りやすく、また歯が磨きにくくなるため、むし歯や歯周病が生じるリスクが高まります。 歯を動かすことにより歯根が吸収して短くなることや歯肉がやせて下がることがあります。 |
| 費用 | 40万円 |
矯正歯科治療は公的健康保険の適用外の自費診療(自由診療)となります。
【治療前】
【治療後】
治療例③25歳7ヶ月
| 初診時年齢 | 25歳7ヶ月 |
| 主訴 | 前歯のガタガタ |
| 診断 | 交叉咬合と正中線の不一致を伴う叢生症例 |
| 抜歯の有無 | 上下左右第一小臼歯 |
| 治療内容 | 小臼歯4本を抜歯した後、マウスピース型カスタムメイド矯正歯科装置(製品名インビザライン 完成物薬機法対象外)を使用して主訴である叢生の改善を行いました。 |
| 治療期間 | 2年 通院回数21回 |
| リスク | 矯正歯科装置を付けた後しばらくは違和感、不快感、痛みなどが生じることがあります。 治療中は矯正歯科装置が歯の表面に付いているため食物が溜りやすく、また歯が磨きにくくなるため、むし歯や歯周病が生じるリスクが高まります。 歯を動かすことにより歯根が吸収して短くなることや歯肉がやせて下がることがあります。 |
| 費用 | 80万円 |
矯正歯科治療は公的健康保険の適用外の自費診療(自由診療)となります。
【治療前】
【治療後】
正中線のズレは自力で改善できるの?
正中線を揃えるには、ただ単に歯を動かせばいいというものではありません。
ゴールとなるかみ合わせを決めて、綿密に治療計画を立てながら時間をかけて歯を動かしていく必要があります。
無理に自力で動かそうすると、かみ合わせの悪化や歯根にダメージを与えるリスクがあります。正中線のズレは自力で治療するのは大きなリスクが伴い、おすすめできません。
正中線のズレはマウスピース型矯正装置で治療可能?
歯の中心のズレは、前述の治療例の通り、マウスピース型矯正装置で治療することが可能です。当院では、精密検査時に歯科用CTやセファログラム等を使い、歯の状態を分析した後に、治療計画を練っていきます。
3D口腔内スキャナーで治療後の歯並びが確認できるため、よりゴールをイメージしやすいという利点があります。
カウンセリングも行っておりますので、歯の中心のズレでお悩みでしたら、お気軽にぜひ一度当院へご相談ください。
当院で行う矯正治療は、マウスピース型カスタムメイド矯正装置(製品名 インビザライン 完成物薬機法対象外)を1日20時間以上(目安)装着して歯を移動させる治療法です。
1週間~2週間毎に患者様ご自身で新しい装置へ交換していただくため、自己管理が重要です。
装置の枚数、交換のタイミング、治療期間は患者様ごとに異なるため、担当医の指示に従って治療を受ける必要があります。
マウスピース型矯正歯科装置(製品名インビザライン完成物薬機法対象外)は医薬品医療機器等法(薬機法)の承認を受けていない未承認医薬品です。
マウスピース型矯正歯科装置(製品名インビザライン完成物薬機法外)はアラインテクノロジー社の製品であり、インビザライン・ジャパン社を介して入手しています。
国内にもマウスピース型矯正歯科装置として医薬品医療機器等法(薬機法)の承認を受けているものは複数存在します。
【治療の主なリスク・副作用】
① 矯正歯科装置を付けた後しばらくは違和感、不快感、痛みなどが生じることがありますが、一般的には数日間~1、2 週間で慣れてきます。
② 歯の動き方には個人差があり、予想された治療期間が延長する可能性があります。
③ 矯正歯科装置の使用状況、顎間ゴムの使用状況、定期的な通院など、矯正歯科治療には患者さんの協力が必要であり、それらが治療結果や治療期間に影響します。
④ 治療中は矯正歯科装置が歯の表面に付いているため食物が溜りやすく、また歯が磨きにくくなるため、むし歯や歯周病が生じるリスクが高まります。したがってハミガキを適切に行い、お口の中を常に清潔に保ち、さらに、かかりつけ歯科医に定期的に受診することが大切です。また、歯が動くと隠れていたむし歯があることが判明することもあります。
⑤ 歯を動かすことにより歯根が吸収して短くなることや歯肉がやせて下がることがあります。
⑥ ごくまれに歯が骨と癒着していて歯が動かないことがあります。
⑦ ごくまれに歯を動かすことで神経が障害を受けて壊死することがあります。
⑧ 矯正歯科装置などにより金属等のアレルギー症状が出ることがあります。
⑨ 治療中に顎関節の痛み、音が鳴る、口が開けにくいなどの症状が生じることがあります。
⑩ 治療の経過によっては当初予定していた治療計画を変更する可能性があります。
⑪ 歯の形の修正や咬み合わせの微調整を行う可能性があります。
⑫ 矯正歯科装置を誤飲する可能性があります。
⑬ 矯正歯科装置を外す際にエナメル質に微小な亀裂が入る可能性や、かぶせ物(補綴物)の一部が破損する可能性があります。
⑭ 動的治療が終了し装置が外れた後に現在の咬み合わせに合った状態のかぶせ物(補綴物)やむし歯の治療(修復物)などをやりなおす必要性が生じる可能性があります。
⑮ 動的治療が終了し装置が外れた後に保定装置を指示通り使用しないと、歯並びや、咬み合せの「後戻り」が生じる可能性があります。
⑯ あごの成長発育により咬み合せや歯並びが変化する可能性があります。
⑰ 治療後に親知らずの影響で歯並びや咬み合せに変化が生じる可能性があります。また、加齢や歯周病などにより歯並びや咬み合せが変化することがあります。
⑱ 矯正歯科治療は一度始めると元の状態に戻すことは難しくなります。

監修者:増岡尚哉
歯科医師・歯学博士(D.D.S. , Ph.D.)|マウスピース型カスタムメイド矯正歯科装置(製品名インビザライン 完成物薬機法対象外)の講師として歯科医師向けに講義・講演活動をしています。
この記事をシェアする
関連した記事
関連した記事はありません。