マウスピース型矯正装置(インビザライン・薬機法対象外)ですきっ歯はどこまで矯正できる?
- 公開日:2022/12/08
- 監修者:増岡尚哉
- 更新日:2025/11/28
歯と歯の間に隙間ができる「すきっ歯」が気になる方も多いのではないでしょうか。小さな隙間でも、口を開けたときに意外と目立ってしまうことがあります。
実は、そうしたすきっ歯はマウスピース型矯正装置(インビザライン・薬機法対象外)での矯正が可能です。今回は、すきっ歯になる原因や矯正方法について説明します。
【目次】
1、すきっ歯になる原因
・生まれつきによるもの
・生活習慣によるもの
2、すきっ歯のリスク
・かみ合わせの悪化
・歯周病、虫歯になりやすくなる
・見た目のコンプレックス
・発音に支障が出る
3、当院のインビザラインによるすきっ歯の治療例
・子どものすきっ歯矯正
・成人のすきっ歯矯正
4、すきっ歯矯正の後戻りを防ぐには
すきっ歯になる原因
すきっ歯とは歯の間に隙間がある症状のことで、正式名称は「空隙歯列(くうげきしれつ)」です。また、すきっ歯のなかでも、前歯の中央に隙間ができているものは「正中離開(せいちゅうりかい)」といわれます。
すきっ歯の原因には、大きく分けて、生まれつきのものと、毎日の習慣によるものの2種類があります。
生まれつきによるもの
生まれつきのすきっ歯の原因としては、次のようなケースが挙げられます。
【歯の本数が少ない・歯が小さい】
永久歯の数が生まれつき少ない「欠損歯(けっそんし)」の場合、足りない歯の部分に隙間ができます。また、顎の広さに対して歯が小さい場合には、歯が並ぶスペースが余ってすきっ歯になります。
【邪魔な過剰歯がある】
歯の数が通常よりも多く生えていると、その過剰歯が邪魔になって永久歯がまっすぐ生えてくることができなくなります。過剰歯によって歯の向きが悪くなり、歯の間が空いてしまうのです。
【前歯と上唇にある小帯(ヒダ)が原因】
上の前歯の真ん中から上唇に伸びるヒダ状の部分「上唇小帯(じょうしんしょうたい)」が発達していると、それが原因で正中離開になる場合があります。
生活習慣によるもの
元々は問題がなかった場合でも、幼い頃から歯並びに悪影響を及ぼす習慣を続けていると、いつの間にか歯の間に隙間ができることがあります。普段から気をつけることで、すきっ歯の予防に役立ちます。
【頬杖をつく癖】
よく頬杖をつく癖がある場合、顎に無理な力がかかって徐々に奥歯の噛み合わせが悪くなることがあります。噛み合わせの影響から歯並びが悪化して、すきっ歯になりやすくなります。
【食事のときの癖】
食事中、前歯の裏に舌を押し付けながらものを飲み込む癖があると、前歯が徐々に前に出てきてすきっ歯になりやすくなります。また、幼少期に指しゃぶりを長くしていた場合、特にすきっ歯になりやすいといわれています。
すきっ歯の放置リスク
すきっ歯を放置すると、以下のようなリスクが生じます。
①かみ合わせの悪化
歯と歯に隙間があることで、噛む際に上下の歯がうまくかみ合わず、一定の歯ばかりに噛む力が偏り、歯が摩耗したり、顎関節に極度の負荷をかけることになります。
また、かみ合わせの悪さは、顎関節症や頭痛・肩こりなどの副次症状の原因になることもあります。
②歯周病、虫歯になりやすくなる
歯と歯の隙間は、食べ物が挟まりやすく、ブラッシングしづらい状態にあります。そのため、歯垢がたまりやすくなり、歯周病の原因となる細菌や虫歯菌の温床になることも。
歯周病や虫歯が進行すると、歯の支持組織が破壊され、最悪の場合、歯が抜け落ちてしまうこともあり得ます。すきっ歯がある場合は、特に定期的な歯科検診と適切な口腔ケアが必要です。
③見た目のコンプレックス
特に前歯のすきっ歯は目立ちやすいため、コンプレックスに感じる方も多いようです。
すきっ歯を改善して当院にこられる患者様の中にも、「口を開いてしゃべれない」「笑えない」という方が多くいらっしゃいます。
このようなコンプレックスが心理的なストレスとなり、生活の質にも悪影響を及ぼす可能性があります。
④発音に支障が出る
大きく開いた歯と歯の隙間から空気が抜けてしまい、発音に支障をきたす場合もあります。
特に「サ行」や「タ行」「ナ行」の音がうまく発音できず、相手に自分の言いたいことを正確に伝えるのが難しくなります。
結果、自分の意図をうまく相手に伝えられないため、会話を億劫に感じるようになり、社会生活に支障を来すことも考えられます。
当院のインビザラインによるすきっ歯の治療例
すきっ歯には、外見的に目立つというだけでなく、歯の隙間に食べ物が挟まりやすくなることによる虫歯や歯周病のリスクを増大させるという問題があります。すきっ歯の治療は、マウスピース型矯正装置(インビザライン・薬機法対象外)によって行えます。
マウスピース型矯正装置(インビザライン・薬機法対象外)は透明なマウスピースを装着する矯正方法です。ワイヤー矯正よりも装置が目立ちにくいため、装着していても他人に気づかれにくく、取り外しが可能なので食事や歯磨きのときに外せてケアしやすいなどのメリットがあります。
次に当院を来院された症例を費用期間と治療費用とともに紹介します。
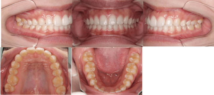
子どものすきっ歯矯正
Before
After
| 年齢 | 治療期間 | 費用 | 主訴 | 治療方法 |
| 7歳4ヶ月 | 9ヶ月 | 40万円 | 前歯のすきっ歯を治したい | マウスピース型矯正装置(インビザライン・ファースト 薬機法対象外) |
患者さんは前歯の隙間が気になると来院されました。前歯の真ん中に隙間がある「正中離開」と前歯の噛み合わせが深い「過蓋咬合(かがいこうごう)」の症状がみられ、また前歯の間に隙間が空いていることで、前歯の脇のまだ永久歯が生えていない場所が狭くなっていました。
この症例では、マウスピース型矯正装置(インビザライン・薬機法対象外)で非抜歯の9ヵ月の矯正治療を行いました。前歯の隙間を閉じて永久歯の生えるスペースを確保し、前歯の重なりを小さくすることで噛み合わせが改善されました。矯正治療でスペースを開けたため、治療前にはまだ生えていなかった永久歯が正常な向きに伸びてきています。
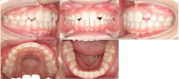
成人のすきっ歯矯正
Before
After
| 年齢 | 治療期間 | 費用 | 主訴 | 治療方法 |
| 23歳 | 6ヶ月 | 40万円 | 出っ歯・前歯のすきっ歯を治したい | 非抜歯+マウスピース型矯正装置(インビザライン・薬機法対象外)部分矯正 |
成人の患者さんの症例もご紹介しましょう。
この患者さんは、前歯が前方に捻じれて生えた状態で、前歯の間には隙間ができていました。上の前歯以外にも、下の歯に小さな隙間ができています。症状は「叢生(そうせい)を伴う骨格性I級症例」との診断結果になりました。
この症例では、マウスピース型矯正装置(インビザライン・薬機法対象外)で非抜歯の歯並びの矯正治療を行っています。6ヵ月の治療期間で前歯の開きと捻じれを治療し、隙間なく正しい向きのきれいな歯並びに改善できました。
すきっ歯矯正の後戻りを防ぐには
矯正によって隙間が改善しても、矯正前の歯並びに戻ってしまうことがあります。これを後戻り(リラプス:relapse)と呼びます。以前矯正治療をしたけれど後戻りをしてしまった、と来院・相談される方も意外と多くいらっしゃいます。
矯正治療後に歯並びを後戻りさせないためには、予防として保定装置(リテーナー)を一定期間装着することが重要です。
保定を行ったあとでも完全に戻りを防ぐことは難しいとされています。とくに、すきっ歯の原因になるといわれる頬杖や舌癖などをいつまでも続けていると、何年か後には後戻りしてしまう可能性があります。
マウスピース型矯正装置(インビザライン・薬機法対象外)治療後には、同じマウスピースタイプの「ビベラリテーナー」という装置で保定ができます。一般的には保定期間は矯正期間と同じくらいの場合が多いですが、当院では矯正後の後戻りを防ぐために保定期間を2年間としています。この期間に後戻りが生じた場合、当院では追加費用なしで再治療を行っています。
治療後も含めてトータルケアを行っていますので、すきっ歯が気になる方は、ぜひラインやメールでご相談ください。

監修者:増岡尚哉
歯科医師・歯学博士(D.D.S. , Ph.D.)|マウスピース型カスタムメイド矯正歯科装置(製品名インビザライン 完成物薬機法対象外)の講師として歯科医師向けに講義・講演活動をしています。
この記事をシェアする
関連した記事
関連した記事はありません。