インビザラインで八重歯をどこまで矯正できるのか?治療経過を画像でご紹介
- 公開日:2021/10/30
- 監修者:増岡尚哉
- 更新日:2025/12/02
八重歯があることで自信を持って笑うことができない。
矯正をするとなるとワイヤーでしか治療できないと思っていませんか?矯正装置が目立つのが嫌で治療に躊躇している方も多いのではないでしょうか?
今回は画像も交えて詳しくご紹介します。
【目次】
1.インビザラインで八重歯の治療も可能!想定される5つの治療方法
1-1 ①非抜歯で側方に広げる
1-2 ②非抜歯で奥歯を後ろに下げる
1-3 ③少し歯を削る(IPR)
1-4 ④抜歯する
1-5 ⑤ ①〜④までの組み合わせ
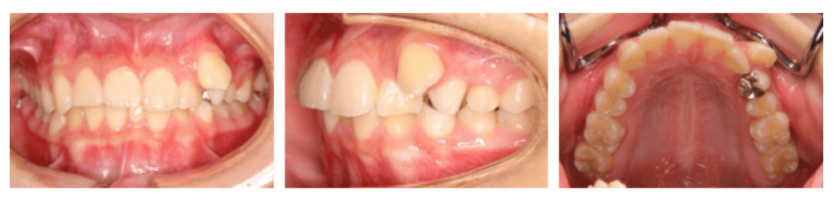
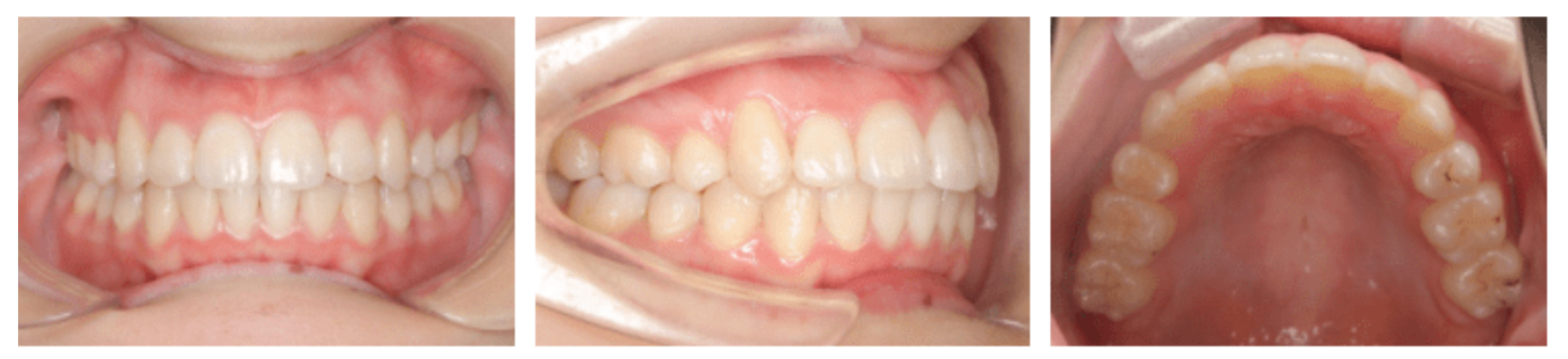
2.インビザラインでの八重歯の治療例と経過①
2-1 治療前
2-2 治療後
3.インビザラインでの八重歯の治療例と経過②
3-1 治療前
3-2 治療後
4.八重歯の矯正期間を短くするためのポイント
4-1 インプラント矯正
4-2 コルチコトミー
4-3 オステオトミー
4-4 部分矯正
4-5 セラミック矯正
5.インビザライン治療で気を付けたい点
5-1 ①インビザライン治療は歯科医師の技術が大きく影響するため、医院選びは慎重に行う
5-2 ②自身で取り外しができるため、装着時間や保定期間をしっかりと守る
5-3 ③インビザライン以外の矯正器具を使う場合もある
5-4 ④治療中にアライナーが浮いたように感じられることもある
6.八重歯の矯正期間を短くするためのポイント
7.八重歯矯正でよくある質問
8.インビザラインにおける八重歯治療も当院にご相談ください!
インビザラインで八重歯の治療も可能!想定される5つの治療方法
八重歯とは、犬歯が歯列から外に突き出してしまった状態で、いわゆる「叢生」と呼ばれています。
犬歯は根っこが一番長い歯であり噛み合わせにおいて非常に重要な役割を果たしています。食事をする際には、犬歯が食べ物をすり潰したり、顎をずらしたときの衝撃を吸収する役割があります。
しかしその犬歯が外にずれて生えてきてしまうと、その役割をする歯が不足し、結果として他の歯に大きな負担がかかることになります。
歯が他の歯と重なるため、ブラッシングが困難になり歯茎の炎症や虫歯のリスクが上がります。この状態の主な原因は顎の成長不足による歯のスペース不足です。その結果、新しい歯が他の歯を押し出してしまいます。
八重歯の矯正においてインビザラインは適していると言われており、5つの具体的な治療方法があります。
①非抜歯で側方に広げる
歯の抜歯を避けて歯並びを調整するための方法として、装置を用いて顎の幅を広げる方法があります。
この際、拡大床という取り外し可能な装置や、
ワイヤーで固定される装置、さらには急速に顎を広げるための急速拡大装置が使用されます。 これらの方法により2㎜〜5㎜程度のスペースを確保することが可能となり、軽度のでこぼこした歯並びを改善することができます。
②非抜歯で奥歯を後ろに下げる
奥歯の大臼歯を後ろに移動させて全体の歯並びを改善する治療方法があります。しかし、親知らずの存在によって必要なスペースが確保できない場合、親知らずの抜歯が必要となることがあります。
③少し歯を削る(IPR)
歯の間にわずかな隙間を作るために歯を軽く削る治療方法をディスキングやストリッピングと呼びます。この処置ではエナメル質の部分をほんの少し削るだけなので痛みは感じられません。マウスピース矯正、例えばインビザラインなどで行われる治療です。
④抜歯する
大きなスペースが必要な場合でも八重歯として生えている犬歯を抜くことはありません。この犬歯は下顎の動きや位置を決める重要なガイドとしての役割を果たし、他の歯に比べて根が長く強度も高いです。
そのため、スペースを確保するために通常は小臼歯と呼ばれる歯を抜歯します。そして、そのスペースを利用して八重歯として生えている犬歯を正しい位置に移動させる治療が行われます。
⑤ ①〜④までの組み合わせ
治療方法は単独で行われることもあれば複数の方法を組み合わせて行われることもあります。
例えば、マウスピース矯正のインビザラインは多くのケースで有効ですが、状態や治療の目的に応じてワイヤー矯正を併用することも選択肢として考慮されます。
インビザラインでの八重歯の治療例と経過①
八重歯になってしまう理由はスペースが足りなくなってしまうためです。本来の位置に出てきてもスペースがないため八重歯になってしまうことがあります。
治療前
治療後
今回のケースは、他の永久歯を抜歯せずに奥歯を移動させて八重歯になっている歯を歯列に入れることができ、噛み合わせを整えることができました。
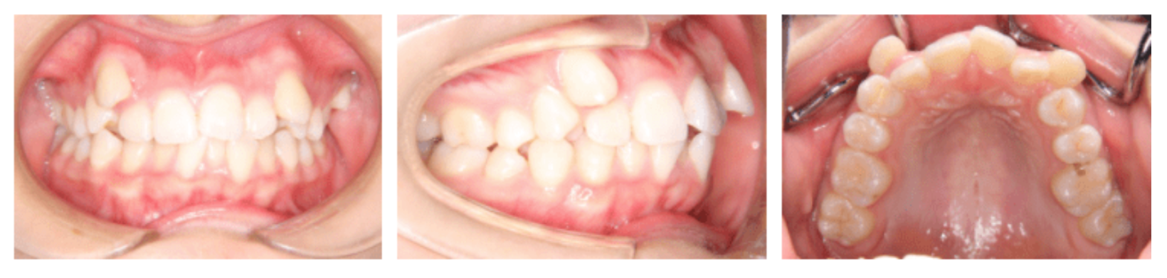
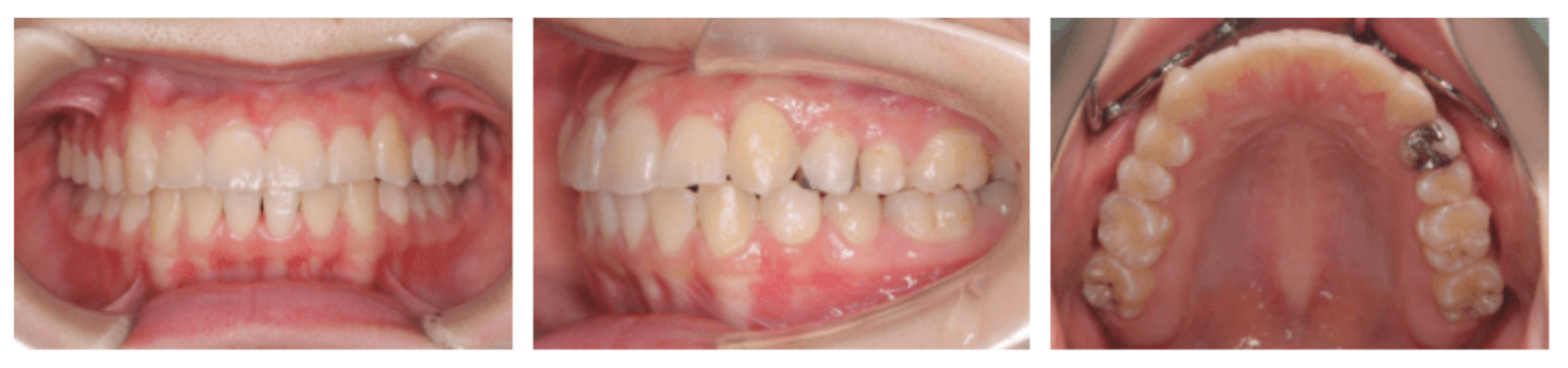
インビザラインでの八重歯の治療例と経過②
左右に八重歯があるケースです。
治療前
治療後
2本分の八重歯になっている歯を入れなくてはなりません。また、奥歯も手前によっているためインビザラインだけでは2本の歯を配置するスペースを作るのが難しい状況です。
この問題を解決するために、八重歯の後ろにある小臼歯を抜歯しそのスペースを利用して八重歯を配置し噛み合わせを整えました。
矯正治療においてスペースを確保するために抜歯が必要な場合がありますが、通常、八重歯ではなくその後ろに位置する小臼歯を抜歯します。
治療を受けるお子様の成長期に合わせて早めに治療を始めることで抜歯のリスクを最小限に抑えることが可能です。
できる限り早期の治療開始をお勧めします。
画像:https://maaortho.com/blog/yaeba.html
八重歯の矯正期間を短くするためのポイント
矯正治療を短期間で終わらせる方法としては以下のような治療方法があります。
インプラント矯正
インプラントアンカーと言われるチタン製の小さなネジを顎の骨に一時的に埋め込んで歯を動かしていきます。
本来、奥歯などの大臼歯を支点にして歯を動かしていくのですが、この方法ではその支点となった歯まで一緒に動いてしまいます。
インプラントアンカーを埋め込むことでこれが支点となり、他の歯が動いてしまうことを防ぎ、狙った歯を動かすことができるため効率的な治療が可能になります。
コルチコトミー
歯を支えている硬い骨を一部外して、内側にある柔らかい骨にヒビを入れて歯を動きやすくします。
特徴としては、ヒビを入れて大きく拡大することができるため、歯を抜かなくても治療を行うことができる可能性があります。
短期間での矯正治療によって歯に大きな力がかかりすぎることで歯の根っこの先端が溶けてしまう「歯根吸収」を抑えることができます。
しかし、この治療は外科的な処置が必要になり、どのような状態の歯並びでも行えるというものではありません。
治療費も通常の矯正治療よりは高額になってしまうことがあります。
オステオトミー
この治療は、コルチコトミーでの処置が難しいケースで行われる治療方法です。
歯槽骨自体を切り、その歯槽骨ごと移動させ歯並びを改善します。
コルチコトミーの治療方法よりも短期間で治療が終わることができますが、この治療方法も外科的な治療が必要です。
部分矯正
全体の歯並びを改善するのではなく、一部分の歯並びを矯正する方法です。この治療は範囲にもよりますが2ヶ月から1年程度で終わるため「プチ矯正」とも呼ばれています。
ワイヤーやマウスピースを使用して行う治療で、費用も全顎の矯正治療よりも比較的安く行うことができます。ただし、歯並びの状態によってはこの治療を行うことができない可能性もあります。
セラミック矯正
この治療方法は、矯正治療のようにワイヤーやマウスピースを使用して歯を動かして行う治療ではありません。歯を直接削り、セラミックの被せ物をして歯並びを審美的に改善する方法です。
上記の方法の中で、治療期間は一番短く治療を行うことができます。矯正装置をつけないので治療中の違和感などはありませんが、デメリットとして歯を削って被せ物をしないといけないということがあります。健康な歯を削ることで、歯の寿命を縮めてしまうこともあります。
どの方法も通常の矯正治療よりは短期間で行うことはできますが、メリット、デメリットがあるので、しっかりと治療方針を確認してから治療をすることをオススメします。
インビザライン治療で気を付けたい点
八重歯治療をインビザラインで行っていく際にどのようなことに気をつけたらいいのでしょうか?
①インビザライン治療は歯科医師の技術が大きく影響するため、医院選びは慎重に行う
矯正治療は確かに時間と費用がかかるものです。そのため、最終的な結果に満足するためには事前の相談や情報収集が非常に重要です。
多くの医院で提供されている無料相談を利用することで、治療方針やコスト、期間などの詳細を事前に理解することができます。
また、治療のゴールなどについて医院側としっかりとコミュニケーションをとることで、後悔のない治療を受けることができるでしょう。
治療の経験や実績は、医院選びの際の大きな判断基準となります。信頼できる歯科医師や医院を選ぶことで、より安心して治療を受けることができます。
②自身で取り外しができるため、装着時間や保定期間をしっかりと守る
インビザラインはその取り外し可能な特性から、多くの患者さんにとって非常に使いやすい装置となっています。食事時の違和感がないのはもちろん、日常の口内ケアもしやすいのは大きなメリットです。
しかし、その便利さが仇となり、装置を取り外したまま長時間放置してしまうことがあるかもしれません。治療の効果を最大限に引き出すためには、一日の大半の20時間以上の装着が必要です。
そのため自己管理が求められるのです。この点を念頭において治療を進めることが大切です。
③インビザライン以外の矯正器具を使う場合もある
八重歯の状態は個人差があり、インビザラインのみでの治療が困難な場合も考えられます。
治療には、顎を広げるための拡大床や急速拡大装置を使用して横幅を拡大したり、奥歯を後方に移動させる方法があります。特定の症例では、抜歯を伴う治療が必要となり、その際はワイヤー矯正などのインビザライン以外の方法を取り入れて、八重歯を歯列に整える治療を行うことも検討されます。
④治療中にアライナーが浮いたように感じられることもある
治療を行っている中で、アライナーが浮いているように感じることがあります。
なぜインビザラインで治療をする際にアライナーが浮いてしまうのか原因と対処方法をお伝えします。
1.装着している時間が短い
インビザラインのアライナーは、効果的な治療を達成するために1日20時間以上の装着が推奨されています。この時間を満たさないと歯の動きが計画通りに進行しない可能性が高まります。装着時間が不足すると次のアライナーとの適合性が損なわれ、正しい位置に歯が動かなくなるリスクがあります。
2.装置が歯になじんでいない
アライナーは通常10日から2週間ごとに交換されます。新しいアライナーに交換した直後、歯にまだ完全にフィットしていないため少し浮いているような感覚を覚えることがあります。しかし、数日経過すると歯が徐々に移動しアライナーも歯に馴染むため、その不快感は次第に減少します。
3.歯の形や歯並びに変化があった
矯正治療中に虫歯治療を行うと歯の形が変わりアライナーが適切にフィットしなくなることが考えられます。そのため、矯正治療中に他の治療を受ける際は、必ず治療を担当する歯科医にその旨を伝えることをおすすめします。
4.アタッチメントがついていない
アタッチメントは、歯の表面に取り付けられる小さな突起のことを言います。アライナーの動きをサポートする役割があります。これにより、アライナーが歯にしっかりとフィットし計画通りの歯の動きをサポートすることができます。
特に複雑な歯の動きや、特定の位置での強い力を必要とする場合には、アタッチメントが使用されることが多いです。
アタッチメントがない場合、アライナーが歯に完全にフィットしないため、不快な感触や歯が浮いているような感覚が生じることがあります。
八重歯の矯正期間を短くするためのポイント
八重歯の矯正期間は、一般的に1年半〜3年程度かかりますが、治療方法や患者さんの協力度によって短縮することが可能です。
まず、治療計画の初期段階で正確な診断を行い、歯の移動距離やスペースの確保方法を明確にすることが重要です。
また、マウスピースやワイヤーの装着時間を守る、装置の破損や紛失を避けるといった日常的な自己管理も期間短縮につながります。
さらに、歯周組織の健康を保つために毎日の丁寧な歯磨きや定期的な歯科クリーニングを行うことで、炎症やトラブルによる治療中断を防ぎ、スムーズな歯の移動を促進できます。
八重歯矯正でよくある質問
Q1. 八重歯は必ず抜歯が必要ですか?
A.必ずしも抜歯が必要ではありません。歯列や顎の大きさによっては、非抜歯でスペースを作り、自然に八重歯を並べることができます。
Q2. 八重歯を放置するとどうなりますか?
A.歯磨きがしにくく虫歯や歯周病のリスクが高まり、噛み合わせや顔のバランスにも影響する可能性があります。
Q3. 八重歯の矯正は何歳まで可能ですか?
A.年齢に制限はありませんが、骨の柔軟性が高い10代〜20代前半は特に効果的です。成人でも治療は可能です。
Q4. マウスピース矯正で八重歯は治せますか?
A.歯の移動量や角度によりますが、軽度〜中度の八重歯であればマウスピース矯正が可能なケースも多いです。
インビザラインにおける八重歯治療も当院にご相談ください!
初診時のカウンセリングでは、現在の歯並びの改善方法や他医院との治療計画比較などあなたの不安や悩みについて詳しくお伺いします。
次に精密検査を行います。これは虫歯や歯周病などの問題がないかを確認するためのレントゲン撮影で、目視では見えない部位まで詳しく検査します。
当院は歯科用のCTやセファロを装備しており、これらは矯正治療の診断に不可欠な機器です。これらを使用して顎の位置関係や前歯の傾斜角度などを調査し、より精確な治療計画を立てます。
最後に、精密検査の結果をもとにした診断と治療計画について説明します。
どのように矯正治療が進行していくのかを理解いただくことができます。当院では、専門的な技術と最先端の設備、さらにインビザライン専門医として高いスキルを活かし、患者様の矯正治療を全力でサポートします。
ぜひ一度、当院へご相談にいらしてください。
当院の矯正無料相談では矯正治療に関するあらゆるご相談にお答えしております。
当院ではしっかりと問診した上で治療計画を立て、丁寧な事前説明を行うように心がけていますのでリラックスしてお越しください。
また、来院診察以外にも無料メール相談からもご相談いただくことが可能です。
お気軽にお問い合わせいただき、まずはご希望をお聞かせ下さい。
それではあなたからのご相談をお待ちしております。

監修者:増岡尚哉
歯科医師・歯学博士(D.D.S. , Ph.D.)|マウスピース型カスタムメイド矯正歯科装置(製品名インビザライン 完成物薬機法対象外)の講師として歯科医師向けに講義・講演活動をしています。
この記事をシェアする
関連した記事
関連した記事はありません。