矯正治療の基礎知識 ~矯正治療は初めての人に~
- 公開日:2020/03/12
- 監修者:増岡尚哉
- 更新日:2020/03/17
1.矯正治療の専門に行う歯科医師とは?
厚生労働省の統計によると、全国に歯科医師は約10万人おり、そのほとんどが「一般歯科医」もしくは「総合歯科医」となります。一般歯科医(総合歯科医)は、虫歯治療、歯周病治療、入れ歯治療、審美歯科治療、インプラント治療等の歯科診療全般を行います。一方、「矯正歯科のみを専門に行う歯科医師」は約3,000人で、歯科医師の3%です。
当然、「一般歯科医(総合歯科医)」の中にも矯正治療を行うドクターもいますが、昔から、矯正治療は矯正専門の歯科医院で行うことが一般的です。なぜならば、歯科治療の中でも、特に、矯正治療は専門性が高い分野であるためです。
2.矯正歯科の専門クリニックとは?
花粉症のときは耳鼻科クリニックがあり、骨折をしたら整形外科クリニックがあるように、矯正治療を専門に行っている矯正専門クリニックがあり、全国で2,000件ほどです。(歯科クリニックは全国で7万件)
例えば、はじめに体の不調で内科を受診し、その後、専門の糖尿病クリニックを紹介されるといったことがあります。医科において、総合診療医と各科専門医とが連携をとって診療にあたるように、歯科においても一般歯科医(総合歯科医)と専門医との連携は欠かせないものです。歯周病が原因で一般歯科を受診し、歯周病の治癒のために矯正治療の必要性がある場合、一般歯科から矯正専門クリニックへの転院するのが一般的です。
矯正専門の歯科医院では、矯正治療についてより多くの研鑽・経験を積んだ歯科医師(矯正医)、歯科衛生士を含めたスタッフ全員が、より細かく精密な治療を患者様にご提供し、皆様の矯正治療が円滑に快適に進むように心がけて、通院中の心のストレスなども考慮し日々診療に従事しております。
3.歯並びをきれいにする選択肢は2つ
歯並びをきれいにしたいなと思い、インターネットなどで情報収集をしていると“クイック矯正(セラミック矯正)”と呼ばれる治療法を目にすることがあります。“矯正”という言葉がついているので、矯正治療の一種かと勘違いしそうですが、これは審美補綴治療といって、矯正治療とはまったく違った手法です。
矯正治療
- 原 理 :力を加えて歯を動かす
- 治療期間:1~3年
クイック矯正・セラミック矯正(審美補綴治療)
原 理 :歯を削って形を変える
治療期間:3~6か月
クイック矯正(審美補綴治療)は、歯を削って形を変えることによって、見た目を変える方法です。一度削ってしまうと元の歯に戻すことができません。近い将来、元に戻す方法が開発される見込みもなさそうです。一定量の歯を削ると将来のその歯を喪失する可能性が高まりますので、お勧めできる歯科治療ではありません。クイック矯正は、治療期間が短く魅力的ですが、リスクがあります。健康な歯を削って整える方法には慎重になってください。
4.矯正治療の流れ
1日目 初回カウンセリング約60分
矯正治療において我々が大切にしているのが、カウンセリングです。矯正治療を希望されて来院される患者様のきっかけは様々で、求めておられることも人それぞれです。患者様が何を求めておられるのかを丁寧に時間を掛けてお聞きし、理想とされる治療後の歯並びやかみ合わせについてのイメージを共有できるように心がけます。ご来院時にお聞き忘れになられたことや追加のご質問がおありの場合も、後日、再度カウンセリングにお越しいただいても構いませんし、メールやお電話にてお答えさせていただくなど、柔軟に対応させていただいております。
初回カウンセリングは、当院で矯正治療をしない人も受診することが可能です。
矯正治療を今後するのかしないのか迷っている人もお気軽に受診ください。
2日目 精密検査 約60分
初回カウンセリングの次に行われる精密検査では、レントゲン写真や型どりなどを行い、現在のお口の中の様子を正確に把握するように努めます。また、精密検査は治療開始前の状態を記録し資料として残すという意味でも重要なステップです。
3日目 診断結果の報告 約60分
診断および治療方針のご説明を行います。精密検査で得られた資料を専門的に分析・診断し、患者様のご希望に対して矯正医の立場から最も望ましいと考えられる解決策をご提案します。診断の際には、なぜその治療計画がベストと考えられるのかについても理由を挙げて詳しくご説明するように心がけており、時には患者様のご意見をお聞きして治療計画を修正したり、別のプランをご提示させていただいたりしてすることもあります。診断は治療開始前の最終確認という意味でも重要なステップです。患者様に安心して治療を開始していただけるよう、起こりうるリスクなどについてもしっかりとご説明させていただきます。
4日目 動的治療(矯正治療)
診断が終わり、治療開始に同意していただきますと、いよいよ矯正治療が始まります。治療期間は年単位で長期間に及びますが、定期的にご来院いただき治療を進めていきます。毎回の診察時にも治療の進捗状況や効果についてはもちろんご説明させていただきますが、何かお困りのことがあればいつでもお尋ねください。通院は、毎週クリニックに来院していただく必要はありません。矯正治療は、基本的に4〜8週間に一度の来院です。また、当院では、2~3か月に1度の通院プランもございます。
動的治療期間(1年~3年)
動的治療終了&保定(アフターケア)
歯を移動させる矯正治療が終了いたしますと、保定(ほてい)に移ります。保定は矯正治療で得られた歯並び、かみ合わせを保ち続けるために非常に重要です。矯正治療後にも噛み癖や歯のすり減りなどによりかみ合わせは一生を通じて変化し続けます。私たち矯正医は、生涯にわたって患者様がキレイな歯並び、正しいかみ合わせを保ち続けられるように、治療後も末永くサポートさせていただきたいと願っています。
5.矯正治療の費用
矯正歯科治療は、一部の例外を除いて健康保険の対象になっていません(自費治療)。日本矯正歯科学会に健康保険の対象になる例が載っていますので、参考にして下さい。
【参考リンク】日本矯正歯科学会ホームページ「矯正歯科治療が保険診療の適用になる場合とは」
自費治療ですので、クリニックによって費用が異なります。
一般的な相場は、子どもの場合30~40万円。大人の場合、70~90万円となっています。
費用に幅がありますが、①不正咬合の状態、②装置の種類、③医師の技術力が異なるためです。髪を切る際、美容専門学校を卒業したばかり人にカットしてもらうのと、美容師として10年以上の経験がある人、またはカリスマ美容師では技術料(カット料金)が違うのと同様、矯正治療も技術力の差があります。
①不正咬合の状態による価格差のイメージ
- 軽度のデコボコの状態:70万円
- 出っ歯など抜歯が必要な矯正治療:80万円
②装置の種類による価格差のイメージ
- 唇側からの矯正治療:70万円
- 透明なマウスピース型装置による矯正:90万円
- 舌側矯正:120万円
6.矯正治療の治療期間
矯正治療は、人間の身体の生理現象を利用して歯を動かしています。歯が移動するスピードは月に1.0mm程度と言われており、その生理現象の速度を超えて歯を動かす事ができません。その移動量を積み重ねることで予定する位置まで移動させるため、動かす距離、本数が多ければ多いほど時間がかかってしまいます。
歯並びのタイプや年齢、どの様に治療するかによって異なりますので、「このような場合は〇年かかります。」と一概に言えませんが、一般的な治療方法では治療期間1.5~3年程度の間、毎月1回程度通院していただきますので20から40回ぐらいです。それ以外にも装置の不具合やお痛みなどがある場合にはその都度通院していただくことがあります。マウスピース型カスタムメイド矯正歯科装置(製品名インビザライン 完成物薬機法対象外)などのマウスピース型矯正装置の場合は、定期的な通院が少ないことに加えて、緊急性の高い不具合が少ないため通院回数は一般的な矯正治療に比べて少なくなります。
矯正治療で歯をどんどん動かしているときは1から2ヶ月に1回の通院間隔です。歯を動かし終わり、歯の安定を待っている保定期間は、4から6ヶ月に1回の通院間隔です。治療期間は歯並びのタイプで大きく異なり、また子供の矯正治療など成長発育を利用する場合でも変わってきます。一般的な成人の矯正治療で1年6ヶ月から3年程度です。小児期の矯正治療が2から3年程度です。
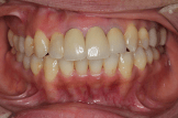
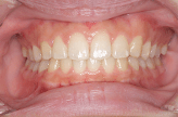
7.矯正治療のメリット
矯正歯科治療とは、口元の形を整え、歯並びをきれいに揃え、むし歯や歯周病になるのを防ぎ、発音を明瞭にするとともに、食物をよく咬めるようにして、健康と美しさを一段と増進させようとする医学です。明眸皓歯といわれるように、明るく澄んだ目ときれいに並んだ白い歯は、その人の健康的な美しさを表す最も大きな要素です。
①美容的な改善
- 口元の形を整える
- 歯並びをきれいに揃える
- 横顔美人になる(イーライン)
②機能的な改善
- きちんとした発音で声を発する事が出来る
- 顎と咬み合わせのバランスを調整する事で、姿勢や体の機能を改善する
- 歯の清掃性を良くし、歯の寿命を延ばす予防的な効果(歯周病予防)がある
- 食べ物をしっかりと噛み砕く事で消化を良くし、胃腸の働きを助ける
③心理的な改善
- 人目を気にして自分の感情を出せなくなることがなくなる
- 自分の笑顔に自信が持てるようになる
- オシャレ、化粧が楽しくなる
- 前向きな気持ちになる
8.矯正治療のデメリット
矯正治療では、少なからず痛みを感じることがあります。しかし、その感じ方には個人差があります。矯正治療では、数十グラムから150グラム程度の力(矯正力)を歯に加えて移動させます。その時に、歯の周りの組織が圧迫され、それを痛みとして感じます。しかし、通常は3〜4日くらいで慣れてしまいます。
特に子供の場合は、ほとんど痛みを感じない場合もあります。
痛みに敏感な人は、市販の痛み止めを服用しても大丈夫です。いずれにしろ、生活に差し支えるような事はありません。
当グループでは、1000人以上の方が矯正治療を受けましたが、“痛いので矯正治療を止めます…”といった人はわずか数%です。
9.矯正治療をするリスク
一般的なリスクと致しましては、むし歯、歯ぐきの変化やまれにかみ合わせが変化することによる顎関節の症状などが挙げられます。
装置がつくとどうしても汚れが溜まりやすく、歯ブラシの毛先が歯の表面に上手く当てられないので、歯みがきが難しくなります。どのような方法で磨けば良いかお教えしますので、ご家庭でも実践されて治療期間中に虫歯を作らないようにしましょう。せっかく矯正治療でキレイな歯並びになっても、虫歯でボロボロでは悲しいですから。
また、矯正治療は患者様の貴重なお時間とお金を費やして行っていただくものです。矯正治療には、患者さんの治療を成功させ、キレイな歯並び、正しいかみ合わせを手に入れたいという強い気持ちが不可欠です。治療を最後まで完了できずに治療途中で中断してしまうと予定した治療結果が得られません。費用と時間を費やしたのに、こんなはずではなかったということにならないようにしたいものです。
10.矯正治療の対象年齢
矯正歯科治療を開始するのに最適な年齢があります。歯を移動して矯正歯科治療すること自体は何歳からでもできますが、最適な時期ということであれば、歯並びのタイプによって個々に異なります。歯がデコボコ(八重歯)の場合は大人になってからでも十分矯正歯科治療できますが、上下の顎の関係が悪い(出っ歯や受け口など)ような不正咬合では、顎の骨が成長している時期から矯正歯科治療しはじめた方が良いことが多いです。治療時期の判断は矯正歯科専門医でないと分からないことが多いため、早めに相談だけでもしておくことが大切です。小学校入学時にチェックしておけば安心です。
お口の中の状態によりますが、何才からでも矯正治療を行なうことが出来ます。私の経験では70歳をから矯正治療を始めた方もいらっしゃいます。いまは40代50代の方も矯正治療を行っています。子供の頃に矯正しようと思ったけれどなかなか踏み出せずに、最近生活も落ち着いてきたので始めようと思った、そんなお話を良く聞きます。
お子様の歯並びを気にされてご両親が治療を希望されて来院される小学生の方から、例えば失った歯を回復するに際して、より良い歯科治療を受けるためにかかりつけの歯科医師の先生から矯正治療の必要性を指摘されて来院される年配の方まで矯正歯科医院を受診されるきっかけや年齢層は様々です。

監修者:増岡尚哉
歯科医師・歯学博士(D.D.S. , Ph.D.)|マウスピース型カスタムメイド矯正歯科装置(製品名インビザライン 完成物薬機法対象外)の講師として歯科医師向けに講義・講演活動をしています。