インビザライン治療中に奥歯が噛み合わなくなるのはなぜ?その理由と症状別の改善方法
- 公開日:1000/01/01
- 監修者:増岡尚哉
- 更新日:2025/11/27
こんにちは、東京日本橋エムアンドアソシエイツ矯正歯科の増岡です。
当院には、他院から転院されての治療継続を希望されて来院される患者様が数多くいらっしゃいます。
もちろん様々な理由があってのことですが、中でも多いのが
「奥歯が噛み合わなくなってしまった」
「奥歯が浮いたように感じられる」
というものです。
この「奥歯が噛み合わない」「奥歯が浮いている気がする」という症状は、マウスピース型矯正装置で治療をする場合に生じる特有の症状ではなく、従来のワイヤー矯正でも起こりうることです。
しかし、治療計画であるクリンチェック・シミュレーションには反映されおらず、予期せず起こるため、マウスピース矯正の治療経験が少ない先生からも、どのように治したらよいのかわからない、といった質問を受けることがあります。
マウスピース矯正におけるいわゆる「奥歯が噛み合わない」状態になってしまう原因としては大きく以下の理由が挙げられます。
マウスピースを装着していることで奥歯が沈み込んでしまい(圧下)噛み合わない
マウスピースと奥歯がずれてしまい、その歯だけ噛み合わない
ほかの歯が先に当たってしまうために奥歯が噛み合わない
このような場合は対処法がそれぞれ異なるため、正しく対処しませんといつまでたっても奥歯が噛み合うようになりません。
パターン1:マウスピースを装着していることで奥歯が沈み込んでしまい(圧下)浮いたように感じられる
マウスピースを装着するとマウスピースの厚みの分(約0.75mm)だけ奥歯が先に当たるようになります。マウスピース矯正では1日20時間程度マウスピースを装着していただくため、常に奥歯にはかみ合わせの力による沈み込み圧力が加わりやすくなります。
このような理由からマウスピースを装着されている患者さんは、皆さま、矯正治療中に奥歯がしっかりと噛み合わないとお感じになられます。
この場合は、マウスピースの装着時間を短くしたり、強く当たる奥歯部分だけをカットしたマウスピースを装着していただくことで通常のかみ合わせに戻ります。
当院でも矯正治療終了間際の患者さんや、治療途中でもマウスピースの作り直しを予定している患者さんなどでは、夜間就寝時のみ装着していただくなど、装着時間を短くしてかみ合わせが安定するかどうかを確認することがあります。
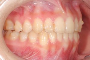
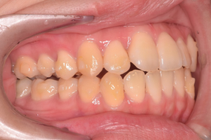
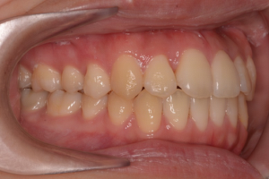
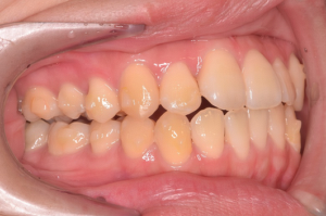
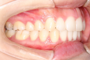
症例データ
▼▼▼
最終の段階で奥歯のかみ合わせをより緊密にするために2週間、夜間のみマウスピースを装着していただきました。
このように、奥歯が噛み合わないといっても、マウスピースの厚み分程度の量であれば装着時間の調整などで対応することが可能です。
症例情報
【患者】 16歳女性
【主訴】 前歯のガタガタ
【診断】 交叉咬合を伴う叢生
【治療期間】1年8ヶ月 通院回数12回
【抜歯の有無】 非抜歯
【治療内容】マウスピース型矯正装置を使用して主訴である前歯の叢生の改善を行いました。
【費用】88万(税込)
【リスク】矯正歯科装置を付けた後しばらくは違和感、不快感、痛みなどが生じることがあります。
矯正中は矯正歯科装置が歯の表面についているため食物が溜まりやすく、また歯が磨きにくくなるため、虫歯や歯周病が生じるリスクがあります。
歯を動かすことにより歯根が吸収して短くなることや歯肉がやせて下がることがあります。
矯正歯科治療は公的健康保健の適応外の自費治療(自由診療)となります。
パターン2:マウスピースと奥歯がずれてしまい、その歯だけ噛み合わない。
ほとんどの歯はピッタリとマウスピースが合っているのに一部の歯だけがずれてしまい噛み合わないという場合、これは以前のブログでご紹介したズレが生じる原因のうち
取り外しの回数が多い
歯の形からズレが生じやすい
移動量が多い
難しい移動を行っている
に加えて、マウスピースを噛んではめてしまっていることなどが原因と考えられます。
対処法としては部分的にワイヤーを装着したり、顎間ゴムを使用するなどリカバリーで対応する場合と、全体の型どりをやり直して追加アライナーを作製する場合とが考えられます。
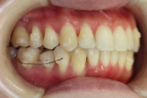
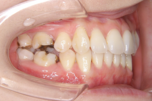
症例データ
▼▼▼
下の奥歯が1本ずれてしまったため部分的にワイヤーを装着してリカバリーを行いました。
症例情報
【患者】 30代女性
【主訴】 前歯のガタガタ
【診断】 臼歯部の交叉咬合を伴う叢生
【治療期間】2年2ヶ月 通院回数18回
【抜歯の有無】非抜歯
【治療内容】マウスピース型矯正装置を使用して主訴である叢生の改善を行いました。
【費用】88万(税込)
【リスク】矯正歯科装置を付けた後しばらくは違和感、不快感、痛みなどが生じることがあります。
矯正中は矯正歯科装置が歯の表面についているため食物が溜まりやすく、また歯が磨きにくくなるため、虫歯や歯周病が生じるリスクがあります。
歯を動かすことにより歯根が吸収して短くなることや歯肉がやせて下がることがあります。
矯正歯科治療は公的健康保健の適応外の自費治療(自由診療)となります。
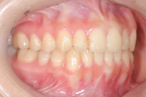
補足:
1本だけずれてしまった場合、このようにゴム掛けを行ってマウスピースとのずれを解消することもあります。その際には赤線のようにマウスピースを部分的にカットして使用していただきます。
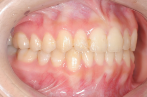
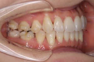
症例データ
マウスピース矯正の途中で下の奥歯だけがズレてしまい、上の歯とかみ合っていません。
▼▼▼
追加アライナーを作製して治療計画を修正してかみ合わせを整えました。
症例情報
【患者】 20代女性
【主訴】 上の歯が出ている
【診断】 上顎前突
【治療期間】2年1ヶ月 通院回数18回
【抜歯の有無】非抜歯
【治療内容】マウスピース型矯正装置を使用して主訴である叢生の改善を行いました。
【費用】88万(税込)
【リスク】矯正歯科装置を付けた後しばらくは違和感、不快感、痛みなどが生じることがあります。
矯正中は矯正歯科装置が歯の表面についているため食物が溜まりやすく、また歯が磨きにくくなるため、虫歯や歯周病が生じるリスクがあります。
歯を動かすことにより歯根が吸収して短くなることや歯肉がやせて下がることがあります。
矯正歯科治療は公的健康保健の適応外の自費治療(自由診療)となります。
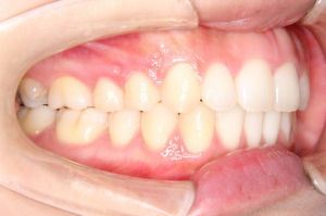
パターン3:ほかの歯が先に当たってしまうために奥歯が噛み合わない。
マウスピース矯正では特に前歯を内側に移動させる際に前歯が先に当たるようになってしまい、奥歯が噛み合わない状態になってしまうことがあります。
元々、交叉咬合(上の歯が下の歯の内側にある状態)であった部分を改善する途中でもこのように奥歯が噛み合わない状態になることがあります。
このような場合にはマウスピースの作り直し(追加アライナー)を行い、計画の修正を行う場合があります。
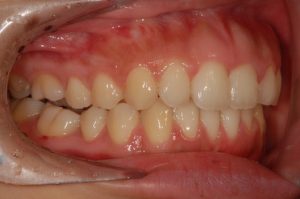
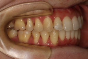
症例データ
上あごの横の前歯が下の歯よりも奥に入ってしまっており交叉咬合(クロスバイト)の状態です。
▼▼▼
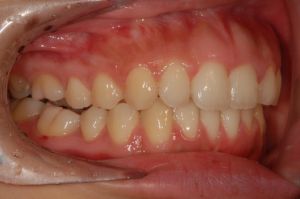
歯並びは整ってきましたが奥に入っていた上の前歯が下の歯と先に当たってしまい奥歯が噛めない状態です。
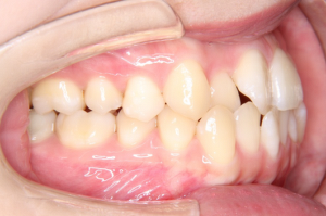
▼▼▼
追加アライナーを作製して全体のかみ合わせが緊密になりました。
また、特に抜歯をして歯並びを整える治療計画の場合には前歯を内側に引き込む際にマウスピースが大きく歪んでしまい、前歯だけが強く干渉してしまうことがあるため、これがマウスピース型矯正装置による矯正治療において抜歯を伴う治療では注意が必要だと言われている理由の一つです。
マウスピースにズレがない場合でも、適切に治療計画を修正しませんと奥歯が前に倒れてしまってさらに噛み合わなくなり、元に戻すにもかなりの時間が必要になってしまいます。
症例情報
【患者】 20代女性
【主訴】 前歯のガタガタ
【診断】 前歯部の交叉咬合を伴う叢生
【治療期間】1年5ヶ月 通院回数11回
【抜歯の有無】非抜歯
【治療内容】マウスピース型矯正装置を使用して主訴である叢生の改善を行いました。
【費用】88万(税込)
【リスク】矯正歯科装置を付けた後しばらくは違和感、不快感、痛みなどが生じることがあります。
矯正中は矯正歯科装置が歯の表面についているため食物が溜まりやすく、また歯が磨きにくくなるため、虫歯や歯周病が生じるリスクがあります。
歯を動かすことにより歯根が吸収して短くなることや歯肉がやせて下がることがあります。
矯正歯科治療は公的健康保健の適応外の自費治療(自由診療)となります。
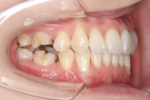
症例データ
他院で歯を抜いて矯正治療を開始されましたが治療途中で当院に転院された患者様です。奥歯が噛み合わず、倒れてしまっている状態です。
▼▼▼
このように奥歯が噛まないという状態はマウスピース矯正の治療中に生じる一時的なものですので、何故そうなってしまったのか原因がはっきりしていれば、適切な対応により理想的なかみ合わせを得ることが可能です。
症例情報
【患者】 30代女性
【主訴】 他院からの転院
【診断】 臼歯部の開咬合を伴う叢生
【治療期間】2年4ヶ月 通院回数17回
【抜歯の有無】非抜歯
【治療内容】マウスピース型矯正装置を使用して主訴である叢生の改善を行いました。
【費用】88万(税込)
【リスク】矯正歯科装置を付けた後しばらくは違和感、不快感、痛みなどが生じることがあります。
矯正中は矯正歯科装置が歯の表面についているため食物が溜まりやすく、また歯が磨きにくくなるため、虫歯や歯周病が生じるリスクがあります。
歯を動かすことにより歯根が吸収して短くなることや歯肉がやせて下がることがあります。
矯正歯科治療は公的健康保健の適応外の自費治療(自由診療)となります。
一般的なリスク・副作用
① 矯正歯科装置を付けた後しばらくは違和感、不快感、痛みなどが生じることがありますが、一般的には数日間~1、2 週間で慣れてきます。
② 歯の動き方には個人差があり、予想された治療期間が延長する可能性があります。
③ 矯正歯科装置の使用状況、顎間ゴムの使用状況、定期的な通院など、矯正歯科治療には患者さんの協力が必要であり、それらが治療結果や治療期間に影響します。
④ 治療中は矯正歯科装置が歯の表面に付いているため食物が溜りやすく、また歯が磨きにくくなるため、むし歯や歯周病が生じるリスクが高まります。したがってハミガキを適切に行い、お口の中を常に清潔に保ち、さらに、かかりつけ歯科医に定期的に受診することが大切です。また、歯が動くと隠れていたむし歯があることが判明することもあります。
⑤ 歯を動かすことにより歯根が吸収して短くなることや歯肉がやせて下がることがあります。
⑥ ごくまれに歯が骨と癒着していて歯が動かないことがあります。
⑦ ごくまれに歯を動かすことで神経が障害を受けて壊死することがあります。
⑧ 矯正歯科装置などにより金属等のアレルギー症状が出ることがあります。
⑨ 治療中に顎関節の痛み、音が鳴る、口が開けにくいなどの症状が生じることがあります。
⑩ 治療の経過によっては当初予定していた治療計画を変更する可能性があります。
⑪ 歯の形の修正や咬み合わせの微調整を行う可能性があります。
⑫ 矯正歯科装置を誤飲する可能性があります。
⑬ 矯正歯科装置を外す際にエナメル質に微小な亀裂が入る可能性や、かぶせ物(補綴物)の一部が破損する可能性があります。
⑭ 動的治療が終了し装置が外れた後に現在の咬み合わせに合った状態のかぶせ物(補綴物)やむし歯の治療(修復物)などをやりなおす必要性が生じる可能性があります。
⑮ 動的治療が終了し装置が外れた後に保定装置を指示通り使用しないと、歯並びや、咬み合せの「後戻り」が生じる可能性があります。
⑯ あごの成長発育により咬み合せや歯並びが変化する可能性があります。
⑰ 治療後に親知らずの影響で歯並びや咬み合せに変化が生じる可能性があります。また、加齢や歯周病などにより歯並びや咬み合せが変化することがあります。
⑱ 矯正歯科治療は一度始めると元の状態に戻すことは難しくなります。
このように奥歯が噛まないという状態はマウスピース矯正の治療中に生じる一時的なものですので、何故そうなってしまったのか原因がはっきりしていれば、適切な対応により理想的なかみ合わせを得ることが可能です。

監修者:増岡尚哉
歯科医師・歯学博士(D.D.S. , Ph.D.)|マウスピース型カスタムメイド矯正歯科装置(製品名インビザライン 完成物薬機法対象外)の講師として歯科医師向けに講義・講演活動をしています。