少しの出っ歯ならインビザラインの部分矯正で治療可能。治療ケース、注意点も解説。
- 公開日:2021/10/30
- 監修者:増岡尚哉
- 更新日:2025/12/02
前歯の軽い出っ歯が気になるけれど、全体矯正までは大げさに感じる…。そんな方に適しているのが「部分矯正」です。費用や期間を抑えながら気になる部分だけを治せるため、最近注目されています。この記事では、軽度の出っ歯の基準や放置した場合のリスク、治療方法、部分矯正が適応できるかどうかの判断基準まで詳しく解説します。さらに、よくある疑問をQ&A形式でお答えします。
【目次】
1.軽度の出っ歯とはどの程度のものなのか?
1-1 軽度の出っ歯を放置したらどうなる?
2.軽度の出っ歯の治療方法
2-1 ワイヤーの部分矯正
2-2 マウスピースの部分矯正
2-3 セラミック治療
3.全体矯正と部分矯正の違い
3-1 部分矯正できないケース
4.部分矯正する際の注意点
5.インビザラインでの治療ケース
6.軽度の出っ歯についてよくある質問
7.軽度の出っ歯も当院におまかせ
軽度の出っ歯とはどの程度のものなのか?
鏡を見るたび「もしかして出っ歯?」と感じたことはありませんか?他人目線では気にならなくても自分では気になるかもしれませんね。矯正治療が必要かどうか迷うことはよくあります。
実は出っ歯には具体的な基準があります。それは「オーバージェット」と呼ばれ、上下の前歯の先端が4mm以上離れている状態のことを言います。横から見た時にこのオーバージェットが4mm以上あれば、出っ歯と診断されることが一般的です。
出っ歯には大きく分けて、骨格の問題と歯並びの問題の2種類があります。
・骨格に起因する場合は、上顎が下顎に比べて前方に突出している状態です。
・歯並びに起因する場合は、アゴの骨は正常な位置にあるものの歯が前方に角度をつけて生えている状態を指します。
特に軽度の出っ歯は歯並びが原因であり、奥歯の噛み合わせに問題がなければ抜歯せずに治療可能な範囲とされています。
軽度の出っ歯を放置したらどうなる?
出っ歯だと口が閉じにくくなります。そのため口呼吸になり口腔内が乾燥します。唾液の分泌量も減ってしまうため虫歯や歯周病のリスクが高まります。
口呼吸になるため細菌を取り込んでしまうことから風邪をひきやすくなるとも言われています。
前歯で噛み切ることができないのと噛み合わせが悪いのでしっかり噛むことができません。そのため胃腸への負担が大きくなってしまいます。
軽度の出っ歯の治療方法
出っ歯を治療する方法はいくつかあります。
ワイヤーの部分矯正
ワイヤーを使用した部分矯正は、特に前歯などの気になる部分にブラケットと呼ばれる装置を取り付けワイヤーをして歯を移動させる治療法です。
この方法のメリットは、特定の問題がある部分のみを対象とするため治療期間と費用を全体矯正に比べて抑えることができる点です。これにより、患者さんの経済的、時間的な負担を軽減できます。
一方でデメリットは、装置が目立つため審美的な懸念が生じる可能性があることです。また、装置が付いていることで食事や歯磨きが難しく、虫歯や歯周病へのリスクを高めることがあります。
マウスピースの部分矯正
マウスピースの部分矯正は、透明なマウスピースを用いて歯並びを改善していく治療法です。このマウスピースは患者ごとの歯並びに合わせたオーダーメードで他の人が使用することはできません。治療の進行に伴い定期的に新しいマウスピースに交換することで衛生的にも優れています。
メリットは、目立たない透明の装置であること、取り外しが可能なため食事や歯磨きがしやすいこと、そして通院回数を減らすことができることがあります。特に見た目を気にする患者さんや忙しい方に適しています。
デメリットとしては、取り外し可能なために自己管理が必要になること、そして効果を得るためには1日に20時間以上装着する必要があることが挙げられます。
セラミック治療
セラミック治療は矯正治療の一種で、歯を移動させるのではなく歯を削ってセラミックの被せ物を用いて歯並びの改善をします。
メリットとして、ワイヤーやマウスピース矯正に比べて治療期間が短く治療中の見た目に対する心配が少ないこと、そして費用を抑えられることです。
特に見た目を重視する患者さんにとってこの方法は有効な選択肢となるでしょう。
一方でデメリットとしては、健康な歯を削る必要があること、そして被せ物をしたことで虫歯や歯周病のリスクが高まる可能性があることが挙げられます。
全体矯正と部分矯正の違い
部分矯正と全体矯正の違いとして、部分矯正は限られた歯並びを対象としており通常は前歯のような特定の範囲の治療を行います。
これに対して全体矯正は歯並び全体と噛み合わせの改善を目的としており、より広範囲の歯に対する処置が含まれます。
治療に使用される装置にはワイヤーやマウスピースなどがありこれらを用いて歯を徐々に動かしていきます。治療期間は全体矯正が平均して1年半から2年程度を要するのに対し、部分矯正はおおよそ半年から1年程度で完了することが多く、これが選択の一因になることもあります。
コスト面でも、部分矯正は全体矯正に比べて低コストで行うことが可能です。ただし、全体矯正はさまざまな症例に対応できるのに対して部分矯正は治療が可能なケースが限られており、口腔内の状態によっては適用できないことがあります。
部分矯正できないケース
全体矯正と違って部分矯正は治療できるケースに限りがあります。
部分矯正ができないケースは3つあります。
骨格に問題がある場合
出っ歯の原因が単に歯の位置ではなく骨格の問題である場合、部分矯正では治療が難しいとされます。このような状況では骨格の矯正を伴う包括的な治療計画が必要になることが多く、そのためには全体矯正や外科手術を含む治療が必要になります。
でこぼこ(叢生)が大きい場合
出っ歯や歯の重なりが大きい場合、部分矯正では改善が困難な場合があります。部分矯正は限られたスペースでの歯の移動になるため前歯のみの矯正には限界があり大きな重なりがある症例は特に難しいと言えます。
一方、全体矯正では必要に応じて抜歯を行いスペースを作り出すことで重なりを改善することが可能です。したがって、症状や目指す結果に応じて適切な矯正方法を選択することが重要です。
すきっ歯の場合
歯の隙間がある場合、部分矯正では一部の歯を動かすだけなのでその隙間をうめることはできません。
部分矯正する際の注意点
部分矯正は特定の歯のみを対象としています。全体的な噛み合わせの改善には対応していません。軽度の出っ歯や歯のでこぼこを改善することは可能ですが、この治療法では歯を動かすスペースに制限があるため全体矯正のように抜歯して大きなスペースを作ることは通常行いません。
代わりに、部分矯正では前歯の一部を削ってわずかなスペースを確保します。この過程でエナメル質を削ることになりますが大量に削るわけではないた通常は痛みはありません。それでもエナメル質が削られたことにより一部の患者さんには知覚過敏が生じる可能性があります。
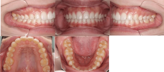
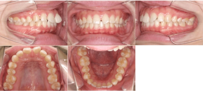
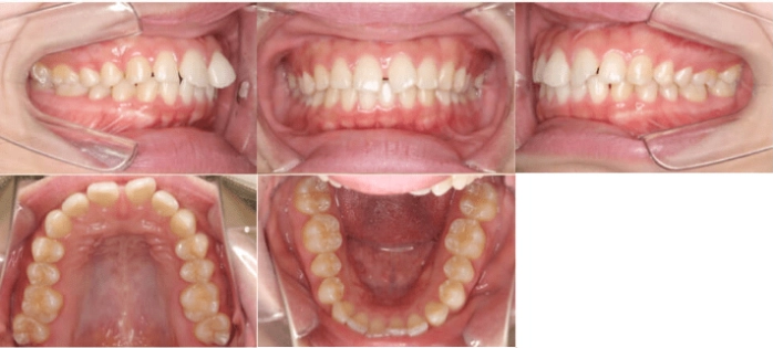
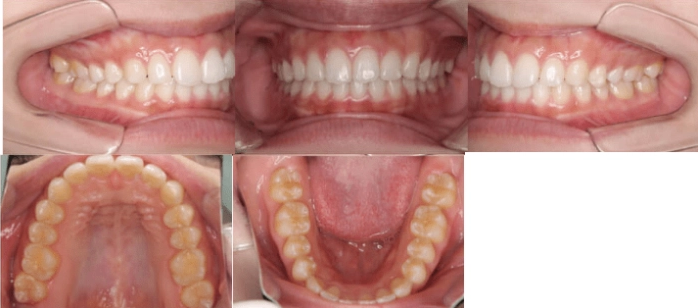
インビザラインでの治療ケース
<Before>
<After>
部分矯正
年齢:23歳
治療期間:6ヶ月
主訴:出っ歯
診断:叢生を伴う骨格性I級、非抜歯
治療内容:前歯に隙間があり、捻れてしまっています。マウスピース矯正で治しました。
リスク:矯正治療による歯の移動に伴う痛み、歯根吸収、虫歯
費用:約40万円
軽度の出っ歯についてよくある質問
Q. 軽度の出っ歯とはどの程度のこと?
A.出っ歯の診断基準には「オーバージェット」という指標があります。上下の前歯の先端が4mm以上離れている状態を一般的に出っ歯と診断します。
軽度の場合は歯の角度が前に傾いているだけで、骨格的な問題がないケースが多いです。この場合、抜歯をせずに矯正可能なことも多く、部分矯正の対象になりやすいといえます。
Q. 軽度の出っ歯は自力で治せる?
A.残念ながら自然に改善することはありません。トレーニングやマウスピースのような市販グッズで根本的に治ることはなく、矯正歯科での専門的な治療が必要です。
Q. 出っ歯を放置するとどうなる?
A.放置すると以下のリスクが高まります。
・口呼吸による虫歯・歯周病リスクの上昇
・風邪をひきやすくなる(細菌を取り込みやすくなるため)
・胃腸への負担(前歯で噛み切れず、噛み合わせが悪いため)
軽度でも長期的に見ると体の健康に影響を及ぼすことがあります。
Q. 矯正以外で治す方法はない?
A.セラミック治療(歯を削って被せ物で形を整える方法)がありますが、健康な歯を削る必要があるためリスクが伴います。歯を残す観点からは、マウスピース矯正やワイヤー矯正が第一選択です。
Q. 抜歯せずに治療できる?
A.軽度の出っ歯であれば、抜歯をせずに治療できることが多いです。部分的にエナメル質を削ってスペースを確保する方法もあります。ただし、骨格的な原因や大きな歯の重なりがある場合は、全体矯正や抜歯が必要になるケースもあります。
Q. 軽度なら治療期間は短くてすむ?
A.はい。全体矯正が1年半~2年かかるのに対して、部分矯正は6か月~1年程度で完了するケースが多いです。症状や治療法により異なりますが、軽度であれば比較的早く終えられる可能性があります。
軽度の出っ歯も当院におまかせ
軽度の出っ歯で矯正をするべきか悩まれている方もいらしたのではないでしょうか。
症状によっては部分矯正をしていくことが可能です。
出っ歯の基準もありますが、その基準に達していなくても出っ歯が気になるようであれば治療をすることも可能です。
少しの出っ歯のインビザライン矯正につきましては当院にご相談ください。

監修者:増岡尚哉
歯科医師・歯学博士(D.D.S. , Ph.D.)|マウスピース型カスタムメイド矯正歯科装置(製品名インビザライン 完成物薬機法対象外)の講師として歯科医師向けに講義・講演活動をしています。
この記事をシェアする
関連した記事
関連した記事はありません。