口角が下がるのは歯並びが原因?口角を下げる歯並びの例と口角を上げる方法
- 公開日:2021/10/30
- 監修者:増岡尚哉
- 更新日:2024/10/31
不機嫌でもないのに不機嫌そうに見えるのはなぜ?最近老けた気がする、など表情の変化の原因は「口元」にあるかもしれません。
口角が下がっているだけで、暗い雰囲気や不機嫌そうに見えたり老けた印象になります。
口角が下がる原因と改善方法をお話していきます。
【目次】
1、口角が下がる主な原因
①加齢や表情筋によるもの
②日ごろの生活習慣や癖
2、歯並びの悪さも口角に影響
口角を下げる悪い歯並びの例
3、口角を上げる方法
①歯列矯正
②自力でトレーニングを行う
③口角が原因の癖や習慣をやめる
4、口角に影響を与える歯並びをマウスピース型矯正装置による矯正治療で改善
口角が下がる主な原因
口角は下がってきたと感じたまま放っておくと下がる一方です。口角が下がる原因は様々あり、まずはそれを知ることが大切です。
①加齢や表情筋によるもの
主な原因として挙げられるのが加齢です。それとともに筋肉も衰えていきます。
特に顔の周りの筋肉が衰えることによってフェイスラインのたるみや口角が下がることに繋がります。
口角に関係する筋肉は主に
- 表情筋(顔全体の筋肉)
- 咀嚼筋(下顎を動かす筋肉)
- 広頚筋(顎から首にかけてある筋肉)
があります。
これらの口元や首周りの筋肉が衰えると、重力に耐えられずに下方へ下がっていき顔周りのたるみや口角が下がって老けた印象になりやすいです。
あまり大きく口を開けて笑うことがない、会話をするときにあまり口を動かさずに話すなど、顔の周りの筋肉があまり動かない状態が毎日続くことで筋肉はどんどん衰えていきます。
また、加齢による肌の乾燥やハリがなくなっていることもたるみや口角下がりの要因になります。
②日ごろの生活習慣や癖
普段の生活の中で何気なくしている癖や姿勢によって口角が下がることがあります。
【口呼吸】
口呼吸をしていると口の周りの筋肉が使われません。この状態が長く続くと筋肉が衰え口角が下がっていきます。
【姿勢の悪さ】
パソコンやスマホなどを見るときに下を向く姿勢になります。この姿勢が長く続くと首の広頚筋が縮み顔が下方に引っ張られ口角も下がっていきます。
【歯ぎしり、食いしばり】
寝ている時の歯ぎしりや無意識の食いしばりによって、表情筋の一つである「口角下制筋」と呼ばれる筋肉が凝り固まってきます。この筋肉は下唇の端から下顎に広がる筋肉で口元を下に引っ張る役割があり、強く働くと口角が下がります。
【よく噛んで食べない】
柔らかい食べ物ばかりを食べたり早食いをしたりすると噛む回数は減ります。噛むことで鍛えられる筋肉が使われないことで衰えていき口角が下がっていきます。
歯並びの悪さも口角に影響
歯並びと口角が下がることには一見関係がないように思われますが実は深い関わりがあります。
歯並びが悪いと口元が盛り上がったり唇が閉じにくかったりして口周りに凹凸ができます。頬の骨と口元までが山と谷のようになり、谷の部分が目立ってくるので口角が下がっているように見えます。また受け口の場合は口を閉じようとすると口元が緊張して口角は下がります。
歯並びが悪くなる原因は先天的な遺伝もありますが、主には後天的な悪い癖や習慣によるものも多くあります。
- 幼少期の指しゃぶりが長く続いた
- 頬杖、横向き寝、うつ伏せ寝
- 口呼吸
- 猫背
- 歯ぎしり、食いしばり
- 唇を噛む
- 爪を噛む
- 舌で歯を前に押す癖
などの悪い癖や習慣が挙げられます。
出っ歯、受け口、開咬、叢生など悪いと言われる歯並びはたくさんの種類があります。それぞれの歯並びを整える治療をしたとしても、上記のような悪い癖や習慣が残っていると歯並びは後戻りしてしまいます。悪い癖や習慣は事前に改善することが望ましいです。
口角を下げる悪い歯並びの例
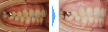
【口ゴボ】
口ゴボは上下の顎と歯が前に突き出ている状態です。前に突き出た上唇は口角に向かって下がっているように見えます。下唇は口を閉じようとして力が入るため口角を引き下げます。
歯を動かすスペースを作るために抜歯を行った症例です。
口元を大きく変化させるためにはやはり、唇を裏側から支える上下の前歯の位置を大きく変化させる必要があります。
小臼歯4本の抜歯が必要になりましたが、治療後口元をスッキリと後ろに下げることができました。
症例情報
【患者】 30代女性
【主訴】 前歯の突出
【治療期間】2年3ヶ月 通院回数20回
【治療内容】上下左右の小臼歯4本を抜歯した後、マウスピース型カスタムメイド矯正歯科装置(製品名インビザライン 完成物薬機法対象外)を使用して主訴である前歯の突出の改善を行いました。
【費用】88万(税込)
【リスク】矯正歯科装置を付けた後しばらくは違和感、不快感、痛みなどが生じることがあります。
矯正中は矯正歯科装置が歯の表面についているため食物が溜まりやすく、また歯が磨きにくくなるため、虫歯や歯周病が生じるリスクがあります。
歯を動かすことにより歯根が吸収して短くなることや歯肉がやせて下がることがあります。
矯正歯科治療は公的健康保健の適応外の自費治療(自由診療)となります。
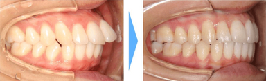
【出っ歯】
上の歯が前に突き出るので上唇は口角に向かって下がっているように見えます。下唇も口を閉じようとして力が入るため口角を引き下げます。
非抜歯で歯を動かすスペースを確保するためにIPRを行った症例です。
これ以外にも抜歯するほどではありませんが、IPRによって確保した隙間を利用して前歯を後ろに下げ、口元の印象を変化させることも可能です。
小臼歯の抜歯は行っていませんが、IPRを利用して前歯の位置を後ろに移動させたことで、治療後の口元を変化させることができました。
症例情報
【患者】20代女性
【主訴】上の前歯が出ている
【治療期間】1年8ヶ月 通院回数15回
【治療内容】親知らず2本を抜歯した後、マウスピース型カスタムメイド矯正歯科装置(製品名インビザライン 完成物薬機法対象外)を使用して主訴である上の前歯の突出の改善を行いました。
【費用】88万(税込)
【リスク】矯正歯科装置を付けた後しばらくは違和感、不快感、痛みなどが生じることがあります。
矯正中は矯正歯科装置が歯の表面についているため食物が溜まりやすく、また歯が磨きにくくなるため、虫歯や歯周病が生じるリスクがあります。
歯を動かすことにより歯根が吸収して短くなることや歯肉がやせて下がることがあります。
矯正歯科治療は公的健康保健の適応外の自費治療(自由診療)となります。
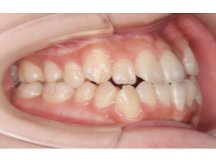
【叢生】
歯並びがガタガタしている、八重歯が歯並びから大きく外れているなど歯並びが大きく乱れます。その影響で唇がへこんだり膨らんだりすることで口角がくぼんだり下がったように見えます。
症例情報
【患者】 10代女性
【主訴】 八重歯
【治療期間】1年9ヶ月 通院回数17回
【治療内容】マウスピース型カスタムメイド矯正歯科装置(製品名インビザライン 完成物薬機法対象外)を使用して主訴である叢生の改善を行いました。
【費用】88万(税込)
【リスク】矯正歯科装置を付けた後しばらくは違和感、不快感、痛みなどが生じることがあります。
矯正中は矯正歯科装置が歯の表面についているため食物が溜まりやすく、また歯が磨きにくくなるため、虫歯や歯周病が生じるリスクがあります。
歯を動かすことにより歯根が吸収して短くなることや歯肉がやせて下がることがあります。
【受け口】
下の顎や歯が上の歯よりも前に突き出ている状態です。口を閉じようとすると下唇が上唇に重なり口角が下がったへの字のように見えます。
このように出っ歯の場合も受け口の場合も歯並びが悪い場合は、自然と口角を下げるような筋肉の緊張があることが言えます。
▼▼▼
症例情報
- 初診時年齢:22歳3ヶ月
- 主訴:受け口
- 診断:叢生と交叉咬合を伴う下顎前突
- 抜歯の有無:非抜歯
- 治療内容:マウスピース型カスタムメイド矯正歯科装置(製品名インビザライン 完成物薬機法対象外)を使用して過蓋咬合と主訴である
- 下あご前歯の叢生の改善を行いました。
- 治療期間:2年1か月 通院回数17回
- リスク:矯正歯科装置を付けた後しばらくは違和感、不快感、痛みなどが生じることがあります。
- 矯正中は矯正歯科装置が歯の表面についているため食物が溜まりやすく、また歯が磨きにくくなるため、虫歯や歯周病が生じるリスクがあります。
- 歯を動かすことにより歯根が吸収して短くなることや歯肉がやせて下がることがあります。
- 費用:80万円
矯正歯科治療は公的健康保険の対象外の自由(自費)診療となります。
画像参照:口ゴボのマウスピース型矯正装置による矯正治療とは?
口角を上げる方法
口角を上げるには、①歯列矯正、②自分でトレーニングする、③歯並びが悪くなる悪い癖や習慣をやめることが挙げられます。詳しく解説します。
①歯列矯正
前述のように、悪い歯並びやかみ合わせというだけで口角を下げてしまいます。
口角を上げるには根本的な原因となる歯並びを整える歯列矯正も1つの方法です。歯並びの症状によって治療方法は様々ありますが、主にセラミック矯正、ワイヤー矯正、マウスピース型矯正装置による矯正治療があります。
【ワイヤー矯正】
歯の表面にブラケットと呼ばれる装置とワイヤーを装着して歯並びを整えていく治療です。ワイヤー矯正では、抜歯をして空いたスペースに歯を動かすような大きな移動を伴う場合や、細かい移動が必要な場合でも対応できます。使用する装置やワイヤーを目立たないようにホワイトワイヤーを使ったり、装置自体を歯の裏側に装着する裏側矯正といった方法があります。
【マウスピース型矯正装置による矯正治療】
患者さん一人一人の歯型に合わせたマウスピースを作製し、治療計画に基づいて定期的に交換しながら装着して歯を移動させて歯並びを整えます。透明なマウスピースなので治療中ということを気付かれにくい治療です。
【セラミック矯正】
ガタガタの歯並びで、問題のある個所を削って被せ物を被せて調整して歯並びを整える治療です。自然の歯に近いセラミックを使用し、好みの色にすることができ他の治療に比べて短期間に治療が完了します。
②自力でトレーニングを行う
口角をトレーニングで持ち上げることができます。自分でできるトレーニングを紹介します。
【割りばしトレーニングで口角UP】
- 割りばしを横にして奥歯で噛みます
- 「イー」の口にして口角をできるだけ上げ30秒間キープし力を抜きます
- 2を3回繰り返します
割りばしを噛んだとき水平になっているかチェックします。左右がズレていると噛み合わせの歪みが分かります。
【舌回しトレーニングでお口周りの筋力UP】
- 口を閉じたまま上の前歯の前に舌を置きます
- そのまま舌で歯茎をなぞるようにゆっくりと1周します
- 右回り左回りそれぞれ10回ずつ3セットします
矯正装置が付いている場合は舌を傷つける恐れがあるので控えましょう。
【表情筋の筋力UP】
- 唇を閉じたまま頬を膨らませる
- 左右どちらかの頬に空気を集めて頬を膨らませたまま10秒間キープ
- もう一方の頬に空気を移動させて頬を膨らませて10秒間キープ
- 2,3を1セットとして5セットする
動かしにくい方向はないかチェックします。
③口角が原因の癖や習慣をやめる
口角を下げる悪い歯並びになるのを防ぐには、普段何気なくやっている悪い習慣や癖を意識してやめることで口角が下がるのを防ぐことが期待できます。
【横向き寝、うつぶせ寝】
寝るときに上を向いて寝るようにしましょう。寝入った後は横を向いたりうつぶせになるかもしれませんが、気が付いたときに上に向くようにします。
【口呼吸】
口を閉じて鼻で呼吸をするようにしましょう。特にマスクをしていると口が開きやすいので意識して閉じます。鼻炎の場合は鼻呼吸が難しいので鼻炎の治療をすることをお勧めします。
【猫背】
立っている時も座っている時も背筋を伸ばして猫背を解消しましょう。特にスマホやPCに向かうときは目の高さにモニターが合うように位置を調整することが大切です。
【歯ぎしり、食いしばり】
歯ぎしりや食いしばりは無意識にしていることが多いのですが、気付いたときに防ぐようにしましょう。また寝ている時に歯ぎしりがひどい場合は、歯科医院に相談されることをお勧めします。
口角に影響を与える歯並びをマウスピース型矯正装置による矯正治療で改善
口角を上げる方法には表情筋などの筋力アップや生活習慣を変えるなどがありますが、根本的な原因となる悪い歯並びを改善することが大切だと言えます。
気になる歯並びはマウスピース矯正型矯正装置でも改善が可能です。
関連記事:
「マウスピース型カスタムメイド矯正歯科装置(製品名インビザライン完成物薬機法対象外)」とは?
当院で行う矯正治療は、マウスピース型カスタムメイド矯正装置(製品名 インビザライン 完成物薬機法対象外)を1日20時間以上(目安)装着して歯を移動させる治療法です。
1週間~2週間毎に患者様ご自身で新しい装置へ交換していただくため、自己管理が重要です。
装置の枚数、交換のタイミング、治療期間は患者様ごとに異なるため、担当医の指示に従って治療を受ける必要があります。
マウスピース型矯正歯科装置(製品名インビザライン完成物薬機法対象外)は医薬品医療機器等法(薬機法)の承認を受けていない未承認医薬品です。
マウスピース型矯正歯科装置(製品名インビザライン完成物薬機法外)はアラインテクノロジー社の製品であり、インビザライン・ジャパン社を介して入手しています。
国内にもマウスピース型矯正歯科装置として医薬品医療機器等法(薬機法)の承認を受けているものは複数存在します。
【矯正歯科治療に伴う一般的なリスクや副作用について】
① 矯正歯科装置を付けた後しばらくは違和感、不快感、痛みなどが生じることがありますが、
一般的には数日間~1、2 週間で慣れてきます。
② 歯の動き方には個人差があり、予想された治療期間が延長する可能性があります。
③ 矯正歯科装置の使用状況、顎間ゴムの使用状況、定期的な通院など、矯正歯科治療には患者
さんの協力が必要であり、それらが治療結果や治療期間に影響します。
④ 治療中は矯正歯科装置が歯の表面に付いているため食物が溜りやすく、また歯が磨きにくく
なるため、むし歯や歯周病が生じるリスクが高まります。したがってハミガキを適切に行い、
お口の中を常に清潔に保ち、さらに、かかりつけ歯科医に定期的に受診することが大切です。
また、歯が動くと隠れていたむし歯があることが判明することもあります。
⑤ 歯を動かすことにより歯根が吸収して短くなることや歯肉がやせて下がることがあります。
⑥ ごくまれに歯が骨と癒着していて歯が動かないことがあります。
⑦ ごくまれに歯を動かすことで神経が障害を受けて壊死することがあります。
⑧ 矯正歯科装置などにより金属等のアレルギー症状が出ることがあります。
⑨ 治療中に顎関節の痛み、音が鳴る、口が開けにくいなどの症状が生じることがあります。
⑩ 治療の経過によっては当初予定していた治療計画を変更する可能性があります。
⑪ 歯の形の修正や咬み合わせの微調整を行う可能性があります。
⑫ 矯正歯科装置を誤飲する可能性があります。
⑬ 矯正歯科装置を外す際にエナメル質に微小な亀裂が入る可能性や、かぶせ物(補綴物)の一
部が破損する可能性があります。
⑭ 動的治療が終了し装置が外れた後に現在の咬み合わせに合った状態のかぶせ物(補綴物)や
むし歯の治療(修復物)などをやりなおす必要性が生じる可能性があります。
⑮ 動的治療が終了し装置が外れた後に保定装置を指示通り使用しないと、歯並びや、咬み合せ
の「後戻り」が生じる可能性があります。
⑯ あごの成長発育により咬み合せや歯並びが変化する可能性があります。
⑰ 治療後に親知らずの影響で歯並びや咬み合せに変化が生じる可能性があります。また、加齢
や歯周病などにより歯並びや咬み合せが変化することがあります。
⑱ 矯正歯科治療は一度始めると元の状態に戻すことは難しくなります。

監修者:増岡尚哉
歯科医師・歯学博士(D.D.S. , Ph.D.)|マウスピース型カスタムメイド矯正歯科装置(製品名インビザライン 完成物薬機法対象外)の講師として歯科医師向けに講義・講演活動をしています。
この記事をシェアする
関連した記事
関連した記事はありません。