前歯だけ矯正したい!部分矯正の費用と実際の症例のご紹介
- 公開日:2021/10/30
- 監修者:増岡尚哉
- 更新日:2025/07/22
歯の矯正といえば、歯全体に矯正装置を付けるイメージがあると思います。実は「部分矯正」という選択もあるということをご存知でしょうか?
前歯の部分矯正を行うだけでも、口元だけでなく顔の印象も変わります。治療をあきらめていた方にお勧めの方法です。
【目次】
1、部分矯正で前歯の歯並びだけを治すことも可能です
2、部分矯正とは
・部分矯正が適応可能な範囲
・部分矯正が適応できる症例
・部分矯正が適応できない症例
3、部分矯正のメリット・デメリット
・前歯のみの部分矯正のメリット
・前歯のみの部分矯正のデメリット
4、前歯矯正の治療期間と費用について
・部分矯正の治療方法は大きく分けて2つ
5、当院の部分矯正の治療ケース
・治療例①部分矯正: 7歳
・治療例②部分矯正: 23歳
6、なぜ、部分矯正で奥歯の治療はできないの?
7、前歯のみの矯正のご相談も受け付けております
部分矯正で前歯の歯並びだけを治すことも可能です
部分矯正は症例にもよりますが、前歯だけの矯正は可能です。
しかし、前歯だけの歯並びの改善を目的としている為、奥歯のかみ合わせの改善や全体の仕上がりには限界があります。
前歯の矯正を行う前にしっかりメリット・デメリットを理解しておきましょう。
部分矯正とは
一般的によく知られている歯科矯正は全体矯正と呼ばれ、全ての歯に装置を接着し少しずつ歯を移動し整えることで歯並びはもちろん噛み合せも改善できます。
これに対して、部分矯正とは気になる部分のみ(主に前歯)の治療を行うことで見た目を改善することができます。
そのため、歯を移動する量が少なく、期間が短めなのが特徴です。症例にもよりますが、早い方では半年で治療が終了する方もいらっしゃいます。
部分矯正で1番知っておいていただきたいのは、全体矯正とは異なり「見た目重視の治療」(審美目的)となることです。
噛み合せは、主に奥歯が関係していますが、部分矯正で奥歯を動かすことはありません。そのため、お口の機能までの改善は見込めません。
すきっ歯や軽度の重なりくらいであれば、部分矯正が適している場合もあります。部分矯正が適しているかどうかは歯科医師の判断になります。
部分矯正が適応可能な範囲
部分矯正は、主に前歯に適応されます。奥歯の矯正治療を行う場合は、噛み合せに大きく影響することがあるため全体矯正が適応されることが多いです。
部分矯正を行える条件は、「奥歯が正常に噛み合っていること」です。部分矯正が適応可能な場合、1歯から治療できます。
部分矯正が適応できる症例
- 軽度のデコボコした歯並び
- 軽度の出っ歯
- 軽度のすきっ歯
- 軽度の捻転歯(ねんてんし:歯が回転したように、捻れて生えている歯のこと)
歯並びが悪くても、その状態が軽度であり抜歯の必要が無い場合は、部分矯正を適応できる可能性が高いです。
ただし、上の歯が部分的に軽度の歯列不正の場合でも、下の歯の歯並びを一緒に整える必要が出てくる場合などは全体矯正が適しています。
部分矯正が適応できない症例
・重度の叢生
叢生(そうせい)とは、歯が重なり合って凸凹に並んでいる歯並びのことです。部分矯正では歯の側面を0.2~0.5mmの範囲内で削ってスペ-ス確保を行います。しかし、重度の叢生の場合は歯の重なりが強いため歯を削っても十分にスペースが確保できないので、部分矯正が適用できません。
・ 受け口・開咬
受け口は、歯を噛み合わせた時に上の前歯より下の前歯が前に出ている状態をいいます。開口は、歯を噛み合わせた時に上と下の前歯が噛み合わず隙間ができる状態をいいます。受け口も開咬も噛み合せを改善する治療が必要になるため、部分矯正は適用できません。
・出っ歯
出っ歯は前歯だけなので部分矯正が可能なように思えますが、下の歯の矯正治療も必要になるため部分矯正は適用できません。また、スペース確保を行おうとすると更に前歯が前方に出る可能性が高いので、抜歯によるスペース確保が必要になることがあります。(抜歯が必要になる場合は全体矯正を行います)
・歯並びが左右非対称
上の前歯の中心と下の前歯の中心の両方が体の中心からズレている場合は、左右非対称の歯並びとなります。歯に原因がある場合と骨格に原因がある場合があります。左右非対称な歯並びは噛み合せの治療も必要になるため、部分矯正は適応できません。骨格に原因がある場合は、矯正治療と外科治療が必要になることがあります。
部分矯正のメリット・デメリット
部分矯正は、全体矯正に比べると短期間・低価格で治療ができとても魅力的な治療です。
しかし、適応範囲が非常に限られます。無理に部分矯正を行ってしまうと、かえって歯並びが悪くなってしまうケースもあります。
事前にメリット・デメリットを知った上でカウンセリングを受診されるのがお勧めです。
前歯のみの部分矯正のメリット
1、全顎矯正と比べて費用を抑えることができる
全顎矯正に比べると、費用を抑えることができます。お口の中の状況や、治療方法によっても異なりますが、一般的な費用で30~80万円程度です。
2、比較的短期間で調整が可能
前歯の部分矯正は比較的短期間で矯正が可能です。奥歯に比べると前歯は根っこが短く歯を動かしやすいため、短期間ですみます。
全顎矯正だと1年半~2年半ほど期間を必要としますが、前歯の矯正は半年~1年ほどと、短期間で改善することができます。
3、かぶせ物をせずにきれいな歯並びになる
かぶせ物で前歯の歯並びを改善する「セラミック矯正」という治療法が、自分の歯を大きく削る必要があります。
前歯の矯正は自分の歯を動かすため、歯本来の機能を失うこともなく、かぶせ物が外れたり、かぶせ物の内部が虫歯になったりというリスクもありません。
前歯のみの部分矯正のデメリット
1、噛み合せは改善できない
歯の一部を動かすため、奥歯のかみ合わせの改善は見込めません。全顎矯正では見た目はもちろん、かみ合わせまで含めて整えることが可能です。かみ合わせが改善させることによって、歯にかかる力がバランスよく分散されるようになり、生涯にわたってご自身の歯を残すことにもつながります。
2、歯を動かすスペースを確保するため歯を削る必要がある
でこぼこした歯を改善するにはスペースの確保が必要です。そのためには場合によっては歯と歯の間を少し削る必要があります。これをIPRと言います。
関連記事:IPRって安全なの?(よくある質問)
3、症例が限られる
前歯の部分矯正では、前歯以外の歯は動かしません。つまり、限られたスペースに歯を並べなければなりません。そうなると、小さなバッグに荷物を詰めればバッグがパンパンになるように、口元に突出感が出てしまうケースもあります。
部分矯正は歯の移動量も少なく、また費用も全顎矯正に比べて安いことから気軽なイメージが浸透しつつあります。実際に「部分矯正だとどのくらい治りますか?」というご相談をいただくことがあります。
”完ぺきではなくてもいいので、部分矯正の範囲内である程度きれいにしたい”というお気持ちは、私たちも非常に共感いたします。
ただ、ここでひとつ注意したいのは「目的と手段が別になってしまっている」ということです。
どういうことかというと、最終的なゴール(歯並び)に向かって手段(全体矯正か、部分矯正)を考えているのではなく、部分矯正という手段ありきでゴールを決めてしまっている、ということです。
矯正治療では、見た目や機能面について総合的に「理想とするゴール」を定めます。ですから、そのゴールを崩すということは、見た目や機能面で何かしら問題が残る可能性があります。
ですから、前歯だけの矯正治療を行う場合は歯科医師とよく相談し、矯正のゴールを決める事が非常に重要です。
部分矯正をお考えの方は、担当医に希望を伝えたうえで、「部分矯正と全体矯正で治した場合に何が違うのか」ということをしっかりと確認されることをお勧めします。
前歯矯正の治療期間と費用について
歯のなかでもっとも人目につきやすく、印象づけるのは「前歯」です。
歯並びが整うだけで、笑顔の雰囲気は驚くほど変わります。前歯のみの「部分矯正」の治療期間や費用をお伝えします。
部分矯正の治療方法は大きく分けて2つ
部分矯正の場合でも、主な方法はマウスピースとワイヤー矯正(表側・裏側)の2種類です。ワイヤーによる部分矯正は表側か裏側に装置をつけます。
〈装置を表側につける場合〉
前歯の表側にワイヤーやブラケットを付けて歯を動かしていきます。
動かす隙間がないときは歯を少しスライスして隙間を作ります。削る量は歯へのダメージがない程度を削ります。
〈装置を裏側につける場合〉
歯の裏側に装置を付けるため、パッと見た感じは矯正をしていることが分かりづらいため、矯正治療での見た目が気になる方は裏側矯正をおすすめします。
〈マウスピース型矯正装置の場合〉
お口の中を専用の機械でスキャンし、どのような状態になっていくのかを事前にシミュレーションします。
当院が取り扱っているマウスピース型カスタムメイド矯正歯科矯装置(製品名インビザライン完成物薬機法対象外)でもワイヤー矯正と同じように部分矯正に対応しております。
部分矯正は全体矯正の半分ほどの費用や期間で治療を行うことができる場合が多く、矯正治療の再治療などで用いられることもあります。
実際の症例と治療期間・費用のご紹介
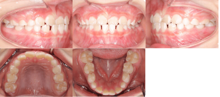
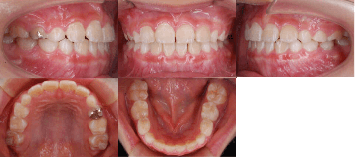
治療例①小児矯正の場合
治療前
治療後
| 初診時年齢 | 7歳4ヶ月 |
| 主訴 | 前歯の隙間が気になる |
| 診断 | 正中線の不一致と叢生を伴う過蓋咬合 |
| 抜歯の有無 | 非抜歯 |
| 治療内容 | マウスピース型カスタムメイド矯正歯科装置(製品名インビザライン完成物薬機法外)を使用して主訴である前歯の隙間を閉じると同時に永久歯の生える場所を確保すると同時に、前歯のかみ合わせが深い過蓋咬合についても前歯の重なりがなくなるように改善しました。 |
| 治療期間 | 9カ月 通院回数8回 |
| リスク | 矯正歯科装置を付けた後しばらくは違和感、不快感、痛みなどが生じることがあります。 治療中は矯正歯科装置が歯の表面に付いているため食物が溜りやすく、また歯が磨きにくくなるため、むし歯や歯周病が生じるリスクが高まります。 歯を動かすことにより歯根が吸収して短くなることや歯肉がやせて下がることがあります。 |
| 費用 | 40万円 |
矯正歯科治療は公的健康保険の適用外の自費診療(自由診療)となります。
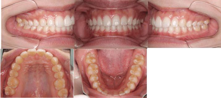
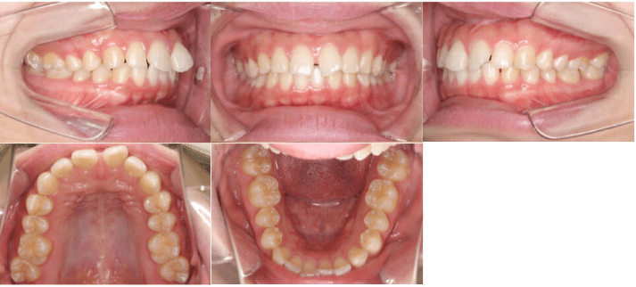
治療例②成人矯正の場合
治療前
治療後
| 初診時年齢 | 23歳0ヶ月 |
| 主訴 | 前歯の2本が出っ歯で隙間が気になる |
| 診断 | 過蓋咬合を伴う空隙歯列 |
| 抜歯の有無 | 非抜歯 |
| 治療内容 | マウスピース型カスタムメイド矯正歯科装置(インビザライン)を使用して主訴である前歯の交叉咬合改善しつつ、下あご前歯のガタガタも改善しました。 |
| 治療期間 | 6カ月 通院回数5回 |
| リスク | 矯正歯科装置を付けた後しばらくは違和感、不快感、痛みなどが生じることがあります。 治療中は矯正歯科装置が歯の表面に付いているため食物が溜りやすく、また歯が磨きにくくなるため、むし歯や歯周病が生じるリスクが高まります。 歯を動かすことにより歯根が吸収して短くなることや歯肉がやせて下がることがあります。 |
| 費用 | 40万円 |
矯正歯科治療は公的健康保険の適用外の自費診療(自由診療)となります。
なぜ、部分矯正で奥歯の治療はできないの?
奥歯のかみ合わせは非常に複雑です。
上下や隣の歯とのバランスでかみ合わせが成り立っているため、どこか一部だけを動かすと全体のバランスを崩してしまうことになります。
もし、部分矯正が適さないケースにも関わらず部分矯正を行った場合、以下のようなトラブルが生じる可能性があります。
・歯の向きは治ったが、噛めない(食事がうまくできない)
・噛むと痛みが出る(強く当たりすぎている)
・頭痛、肩こりなどの症状が出る
普段ほとんど気にすることのない「噛み合わせ」ですが、少しでもバランスが変わると非常に強い違和感やストレスを抱える続けることになってしまいます。
前歯のみの矯正のご相談も受け付けております
当院ではもちろん部分矯正に対応しておりますが、安易にお勧めすることはありません。
CTスキャナーやセファロでしっかりと歯の状態を精密に検査した後に、部分矯正で対応可能な症例かどうかを判断しております。
部分矯正のメリットだけを見て、歯並びを重視せずに部分矯正をした結果、
「満足いく結果にならなかった」
「部分矯正では対応できずに途中で全顎矯正に切り替えたせいでかえって費用と時間が倍増した」
と他院から転院された患者様も多く見てきました。
矯正は決して安いものではありません。
だからこそ、当院では患者様が納得し、最終の仕上がりにご満足いただけるように、慎重に治療計画を立てています。
「前歯だけ治療したい」
「部分矯正できるかな」
そんな悩みがありましたら、まずは当院の初診カウンセリングやメール相談をご利用ください。
患者様の最善の治療方法をご提案いたします。
当院で行う矯正治療は、マウスピース型カスタムメイド矯正装置(製品名 インビザライン 完成物薬機法対象外)を1日20時間以上(目安)装着して歯を移動させる治療法です。
1週間~2週間毎に患者様ご自身で新しい装置へ交換していただくため、自己管理が重要です。
装置の枚数、交換のタイミング、治療期間は患者様ごとに異なるため、担当医の指示に従って治療を受ける必要があります。
マウスピース型矯正歯科装置(製品名インビザライン完成物薬機法対象外)は医薬品医療機器等法(薬機法)の承認を受けていない未承認医薬品です。
マウスピース型矯正歯科装置(製品名インビザライン完成物薬機法外)はアラインテクノロジー社の製品であり、インビザライン・ジャパン社を介して入手しています。
国内にもマウスピース型矯正歯科装置として医薬品医療機器等法(薬機法)の承認を受けているものは複数存在します。
【矯正歯科治療に伴う一般的なリスクや副作用について】
① 矯正歯科装置を付けた後しばらくは違和感、不快感、痛みなどが生じることがありますが、
一般的には数日間~1、2 週間で慣れてきます。
② 歯の動き方には個人差があり、予想された治療期間が延長する可能性があります。
③ 矯正歯科装置の使用状況、顎間ゴムの使用状況、定期的な通院など、矯正歯科治療には患者
さんの協力が必要であり、それらが治療結果や治療期間に影響します。
④ 治療中は矯正歯科装置が歯の表面に付いているため食物が溜りやすく、また歯が磨きにくく
なるため、むし歯や歯周病が生じるリスクが高まります。したがってハミガキを適切に行い、
お口の中を常に清潔に保ち、さらに、かかりつけ歯科医に定期的に受診することが大切です。
また、歯が動くと隠れていたむし歯があることが判明することもあります。
⑤ 歯を動かすことにより歯根が吸収して短くなることや歯肉がやせて下がることがあります。
⑥ ごくまれに歯が骨と癒着していて歯が動かないことがあります。
⑦ ごくまれに歯を動かすことで神経が障害を受けて壊死することがあります。
⑧ 矯正歯科装置などにより金属等のアレルギー症状が出ることがあります。
⑨ 治療中に顎関節の痛み、音が鳴る、口が開けにくいなどの症状が生じることがあります。
⑩ 治療の経過によっては当初予定していた治療計画を変更する可能性があります。
⑪ 歯の形の修正や咬み合わせの微調整を行う可能性があります。
⑫ 矯正歯科装置を誤飲する可能性があります。
⑬ 矯正歯科装置を外す際にエナメル質に微小な亀裂が入る可能性や、かぶせ物(補綴物)の一部が破損する可能性があります。
⑭ 動的治療が終了し装置が外れた後に現在の咬み合わせに合った状態のかぶせ物(補綴物)やむし歯の治療(修復物)などをやりなおす必要性が生じる可能性があります。
⑮ 動的治療が終了し装置が外れた後に保定装置を指示通り使用しないと、歯並びや、咬み合せの「後戻り」が生じる可能性があります。
⑯ あごの成長発育により咬み合せや歯並びが変化する可能性があります。
⑰ 治療後に親知らずの影響で歯並びや咬み合せに変化が生じる可能性があります。また、加齢や歯周病などにより歯並びや咬み合せが変化することがあります。
⑱ 矯正歯科治療は一度始めると元の状態に戻すことは難しくなります。

監修者:増岡尚哉
歯科医師・歯学博士(D.D.S. , Ph.D.)|マウスピース型カスタムメイド矯正歯科装置(製品名インビザライン 完成物薬機法対象外)の講師として歯科医師向けに講義・講演活動をしています。
この記事をシェアする
関連した記事
関連した記事はありません。